pathologica https://www.patho-logica.com/ Just another WordPress site Wed, 29 Oct 2025 10:38:13 +0000 en-US hourly 1 https://wordpress.org/?v=6.4.8 https://www.patho-logica.com/wp-content/uploads/2020/08/cropped-favicon-32x32.pngpathologicahttps://www.patho-logica.com/ 32 32 לעצב את העתיד של הפתולוגיה הניסוייתhttps://www.themarker.com/labels/laboratories25/2025-06-05/ty-article-labels/00000197-3eea-d079-ab97-7fef16470000#new_tab Wed, 29 Oct 2025 10:34:38 +0000 https://www.patho-logica.com/?p=2592חברת פתו-לוגיקה הישראלית מיישמת תהליכים חדשניים המשפרים את השירות שהיא מעניקה ללקוחותיה, חברות פארמה ומכשור רפואי ומוסדות מחקר. זאת לצד הטמעת מכשור מתקדם הפועל באמצעות טכנולוגיית לייזר מתקדמת המציב סטנדרט חדש לדיוק וליעילות במחקר המדעי

The post לעצב את העתיד של הפתולוגיה הניסויית appeared first on pathologica.

]]>
חברת פתו-לוגיקה הישראלית מיישמת תהליכים חדשניים המשפרים את השירות שהיא מעניקה ללקוחותיה, חברות פארמה ומכשור רפואי ומוסדות מחקר. זאת לצד הטמעת מכשור מתקדם הפועל באמצעות טכנולוגיית לייזר מתקדמת המציב סטנדרט חדש לדיוק וליעילות במחקר המדעי

The post לעצב את העתיד של הפתולוגיה הניסויית appeared first on pathologica.

]]>
Novel Laser based technique for Tissuehttps://www.patho-logica.com/novel-laser-based-technique-for-tissue/ Sun, 05 Jan 2025 08:28:40 +0000 https://www.patho-logica.com/?p=2579Novel Laser based technique for Tissue dissectionfor hard tissue and implants histopathological evaluation: At Patho-Logica, we pride ourselves on redefining standards in tissue and material analysis. With our novel Tissue Surgeon method, we’re setting a new benchmark in precision, efficiency, and reliability for researchers and clinicians worldwide for hard tissues and implant histopathology. This state-of-the-art […]

The post Novel Laser based technique for Tissue appeared first on pathologica.

]]>
Novel Laser based technique for Tissue dissectionfor hard tissue and implants histopathological evaluation:

At Patho-Logica, we pride ourselves on redefining standards in tissue and material analysis. With our novel Tissue Surgeon method, we’re setting a new benchmark in precision, efficiency, and reliability for researchers and clinicians worldwide for hard tissues and implant histopathology. This state-of-the-art tool represents a giant leap forward in laser-based preparation of biological tissues and materials, transforming how we approach the challenges of histopathological analysis and implant dissection.

 

The Need for Advanced Tissue Preparation
Histological analysis, particularly involving calcified tissues and implanted medical devices, has long been plagued by limitations of traditional methods such as hard tissue decalcification for microtomy and ground sectioning. These approaches introduce artefacts, compromise tissue-implant interfaces, and demand labor-intensive, time-consuming processes and above all a relatively poor quality of the histological image on a high power field with a marked reduction in the histological relevant data.
The Tissue Surgeon addresses these weak points head-on, delivering unparalleled precision with minimal material loss and artefact-free sectioning. By leveraging laser microtomy, our technology eliminates the constraints of conventional methods, enabling seamless preparation of high quality, delicate sections from both hard tissues and a broad range of implants.

 

Key Features of the Tissue Surgeon

  1. Contact-Free Cutting: Utilizing advanced laser microtomy, the Tissue Surgeon ensures minimal distortion by avoiding physical contact during the cutting process. This feature is crucial for preserving the integrity of tissue-implant interfaces, which are critical for accurate analysis.
  2. Ultra-Thin Sections: Produce high-quality slides with section thickness ranging from 8 to 15 microns, also suitable for diverse applications from digital morphometry  evaluation to immunohistochemistry (IHC) stain capabilities.
  3. Versatility in Applications: Perfect for various fields, including bone pathology, cardiac stents, dental implants, orthopedic devices, regenerative medicine, and preclinical studies. Whether you’re studying small animal models or large implants, the Tissue Surgeon is designed to meet your needs.
  4. Enhanced Quality Control: Optical Coherence Tomography (OCT) integration ensures real-time quality checks during sectioning, guaranteeing consistent results with every sample.
  5. Time and Resource Efficiency: The fast and straightforward operation minimizes preparation time while reducing material waste, allowing researchers to focus on analysis and discovery.

 

Unmatched Applications and Benefits

Originally designed for bone histology, the Tissue Surgeon’s capabilities have been extended to address the challenges of modern medical device research:

  • Bone and Hard Tissue Analysis: Avoid the need for decalcification,
  • maintaining tissue integrity and enabling detailed morphometric evaluations.
  • Medical Device Research: Analyze implanted devices within tissues, from cardiac stents to orthopedic screws, while preserving their interaction with surrounding biological structures.
  • Regenerative Medicine and Tissue Engineering: Support the development of advanced biomaterials, scaffolds, and implants with unparalleled precision.

 

*Rat knee, H&E, Lower left

 

Transform Your Research with Patho-Logica

The Tissue Surgeon is more than a tool; it’s a game-changer for professionals seeking accuracy, efficiency, and innovation in tissue and implant research. By integrating this revolutionary device into your workflow, you’ll elevate your capabilities, streamline your processes, and unlock new possibilities in histopathological analysis.

Ready to join the revolution? Explore the full potential of the Tissue Surgeon and discover how Patho-Logica is shaping the future of tissue analysis. Visit our website at patho-logica.com/tissue-surgeon or contact us for a personalized demonstration.

 

The post Novel Laser based technique for Tissue appeared first on pathologica.

]]>
Advanced Laser-Based technology for the preparation of biological tissues and materials in plastic embedded sectionshttps://www.patho-logica.com/advanced-laser-based-technology-for-the-preparation-of-biological-tissues-and-materials-in-plastic-embedded-sections/ Tue, 20 Aug 2024 07:11:12 +0000 https://www.patho-logica.com/?p=2560Advanced Laser-Based technology for the preparation of biological tissues and materials in plastic embedded sections Methodological Aspects of an Advanced Technology purchased by Patho-Logica (supported by the Israeli Innovation Authority). Dr. Emmanuel Loeb   Case report: Objective: To evaluate histopathological changes in goat blood vessels following Implant + Filler implantation, using a semi-quantitative analysis and […]

The post Advanced Laser-Based technology for the preparation of biological tissues and materials in plastic embedded sections appeared first on pathologica.

]]>
Advanced Laser-Based technology for the preparation of biological tissues and materials in plastic embedded sections

Methodological Aspects of an Advanced Technology purchased by Patho-Logica (supported by the Israeli Innovation Authority).

Dr. Emmanuel Loeb

 

Case report:

  • Objective: To evaluate histopathological changes in goat blood vessels following Implant + Filler implantation, using a semi-quantitative analysis and morphometry.
  • The device: A vascular embolization device, intended to control hemorrhaging due to aneurysms, vascular tumors and arteriovenous malformations.
  • Device scheme:

  • Histopathology: A histopathological change in goat blood vessels were evaluated 90-days following device implantation, using a semi-quantitative analysis and morphometry to evaluate percent of vessel recanalization and total percent of occluded area.
  • Gross: A vein with an obstruction of 1.5 cm and no apparent other pathological changes (see the right picture).
  • Slide Preparation: Plastic sections (6 microns thick) were cut using an advanced Laser microtomy, put on glass slides and stained with Hematoxylin & Eosin (H&E) for histopathology analysis.
  • Results: The laser microtomy enabled the evaluation and understanding of the structure and cellular assembling of the obstruction.
  • The results had a great impact on the device development process and generated more funding for the project.
  • The company is working on a scientific publication of the histopathology results once the device will commercial.

Results:

A cross section within the vein device showing the device frame (red arrow), coils (yellow arrow) and tissue ingrowth. X0.9, H&E stain.

Results:

A cross section within the vein device showing the device frame (red arrow), coils (yellow arrow) and tissue ingrowth. X2, H&E stain.

Summary

  • Laser microtomy is a fast and easy cutting method of undecalcified hard tissue and a broad range of implants and biomaterials.
  • The laser dissection method enables a 6-14 micron thick section which provide the pathological evaluation a detailed histological feature in plastic embedded material including high power magnifications.
  • The cross sections are clean with almost no artifacts.
  • In this case of medical device evaluation as represents here the method helps to demonstrate and study the impact of an invasive medical device both in the context of efficacy and safety.

The post Advanced Laser-Based technology for the preparation of biological tissues and materials in plastic embedded sections appeared first on pathologica.

]]>
Ensuring Excellence: Patho-Logica’s Commitment to Quality Assurancehttps://www.patho-logica.com/ensuring-excellence-patho-logicas-commitment-to-quality-assurance/ Tue, 13 Aug 2024 10:10:04 +0000 https://www.patho-logica.com/?p=2531At Patho-Logica, we are unwaveringly dedicated to quality assurance and customer satisfaction. We do so with in the following ways: GLP-OECD Certification for Histopathology and Toxicological Pathology Patho-Logica has earned the prestigious Certification in Good Laboratory Practices (GLP-OECD) for Histopathology and Toxicological Pathology from the Israel Laboratory Accreditation Authority (ISRAC), and is certified to conduct […]

The post Ensuring Excellence: Patho-Logica’s Commitment to Quality Assurance appeared first on pathologica.

]]>
At Patho-Logica, we are unwaveringly dedicated to quality assurance and customer satisfaction. We do so with in the following ways:

GLP-OECD Certification for Histopathology and Toxicological Pathology

Patho-Logica has earned the prestigious Certification in Good Laboratory Practices (GLP-OECD) for Histopathology and Toxicological Pathology from the Israel Laboratory Accreditation Authority (ISRAC), and is certified to conduct Histopathology and Toxicological Pathology studies in compliance with the OECD principles of GLP.

Our GLP-OECD certification encompasses:

  • Detailed protocol establishment
  • Gross pathology performance and description
  • Quality-controlled slide production and analysis
  • Comprehensive evaluation of efficacy and safety studies, including measurements and digital morphometry analysis
  • Detailed histological and histopathological reports with visual documentation
  • Fully audited Final Reports

 

 

The post Ensuring Excellence: Patho-Logica’s Commitment to Quality Assurance appeared first on pathologica.

]]>
Bungaro-toxin marker for histologyhttps://www.patho-logica.com/bungaro-toxin-marker-for-histology/ Mon, 08 Feb 2021 14:17:17 +0000 https://www.patho-logica.com/?p=1939Bungaro-toxin marker for histology: A powerful tool for the quantification and evaluation of the Acetyl-Choline receptors on the NMJ. Dr. Emmanuel Loeb Introduction: The neuromuscular junction (NMJ) involves a complex structure whose function is to convey action potentials from the motorneuron (MN) to skeletal muscle, resulting in stimulated contraction of the muscle. Bungarotoxin (BTX-488), the […]

The post Bungaro-toxin marker for histology appeared first on pathologica.

]]>
Bungaro-toxin marker for histology:

A powerful tool for the quantification and evaluation of the Acetyl-Choline receptors on the NMJ.

Dr. Emmanuel Loeb

Introduction:

The neuromuscular junction (NMJ) involves a complex structure whose function is to convey action potentials from the motorneuron (MN) to skeletal muscle, resulting in stimulated contraction of the muscle.

Bungarotoxin (BTX-488), the toxin that specifically binds to acetylcholine receptors (AchRs) on the surface of muscle fibers can show the receptor morphology for histological evaluation.

An example of Bungarotoxin receptors stain in a myasthenia gravis study of a mouse model.

Tissue preparation protocol for Acetylcholine analysis

Work protocol:

Organ/Tissue Collection and Fixation

  • Samples of striated muscles (gastrocnemius and diaphragm) can be harvested from mice in different disease models.

Bungarotoxin staining for Acetylcholine receptors (AChRs) labelling

  • Following isolation of the gastrocnemius and the diaphragm, the whole muscles are incubated for 20 mins with tetramethlrhodamine conjugated -bungarotoxin (BTx, 1:100, Invitrogen) to label AChRs.
  • Muscles are washed briefly with PBS and fixed with 2.5% PFA for additional 20 min and then were cryoprotected in 30% sucrose PBS solution for ON. The next day, muscles are placed in molds with OCT and were frozen and kept at -20°C until further used.

Slide Preparation

  • 30 μm thick frozen sections are cut by cryostat in a plane parallel to the surface of the muscle and mounted on super-frost+ slides (20 sections per muscle). Sections are dried and covered, using aqua-mount mounting solution.

Microscopic examination and photography

  • Stained sections are examined by fluorescent microscope equipped with Plan Apo objectives connected to a CCD camera. Digital images of the AChRs, 6-10 fields of 0.2 mm2 from each muscle are collected. Analysis is performed in X6 and X12 magnifications.

The analysis process of Acetyl-Choline receptors

Morphometric analysis of the immunofluorescence (IF) reaction for labelled AChRs

Morphometry of the area of the AChRs and the percent of the labelled area can be performed, using image analysis tools: The number and area of the receptors are analyzed using image pro v10 and the MATLAB software. The area of the labeled receptors is held as a parameter for the number of receptor sites per area of 0.2 mm2. The percentage of intact receptors per area of 0.2 mm2 is held to quantify the grade of the intact morphology of the individual receptors per area unit.

Area of 0.2 mm2 marked in a white square per muscle, from each sample 6-8 such areas were calculated for the number of receptors and the % of the receptors size (morphology).

Histological examples of stained sections:

Bungarotoxin stain in gastrocnemius muscle of healthy animal, volume and morphology are perfectly intact

Bungarotoxin stain in gastrocnemius muscle of affected animal, irregular number and morphology.

The post Bungaro-toxin marker for histology appeared first on pathologica.

]]>
Webinar December 2020https://www.patho-logica.com/webinar-december-2020/ Sun, 20 Dec 2020 07:22:15 +0000 https://www.patho-logica.com/?p=1922Webinar December 2020 A professional Webinar on the topic: From a Conceptual “Idea” to a Marketed Product: Toxicology/Safety Assessment Pathology Regulatory Registration Webinar Video We discussed about: Introduction by Dr. Emmanuel Loeb, CEO, Patho-Logica, Inc. Definition and role of the various inter-related disciplines Safety assessment history (leading to the GLPs, GMPs and GCPs) Sources of […]

The post Webinar December 2020 appeared first on pathologica.

]]>

Webinar December 2020

A professional Webinar on the topic:

From a Conceptual “Idea” to a Marketed Product:

  • Toxicology/Safety Assessment
  • Pathology
  • Regulatory Registration

Webinar Video

We discussed about:

  • Introduction by Dr. Emmanuel Loeb, CEO, Patho-Logica, Inc.
  • Definition and role of the various inter-related disciplines
  • Safety assessment history (leading to the GLPs, GMPs and GCPs)
  • Sources of conceptual ideas
  • Discovery Phase (Research “R” leading to Development “D”)
  • Pre-Clinical phase leading the IND regulatory approval
  • Non-Clinical phase along Clinical Phases I, II and III and their regulatory approval
  • Approval for marketing
  • Post-Marketing issues related to safety

The post Webinar December 2020 appeared first on pathologica.

]]>
CNS Models in Rodentshttps://www.patho-logica.com/cns-models-in-rodents/ Mon, 14 Dec 2020 09:28:16 +0000 https://www.patho-logica.com/?p=1900CNS models in rodents: What can you expect from your experimental pathologist? Dr. Emmanuel Loeb Introduction Three major parameters are important for accurate histopathological results in CNS models: Tissue preparation for representative lesion exposure and analysis. Choice of histological tools for measuring your desired end points. Accuracy of the analytical process. An example of a […]

The post CNS Models in Rodents appeared first on pathologica.

]]>
CNS models in rodents: What can you expect from your experimental pathologist?

Dr. Emmanuel Loeb

Introduction

Three major parameters are important for accurate histopathological results in CNS models:

  • Tissue preparation for representative lesion exposure and analysis.
  • Choice of histological tools for measuring your desired end points.
  • Accuracy of the analytical process.

An example of a Stroke (MCAO) study in a rat model.

Tissue preparation for representative lesion exposure and analysis

Tissue harvest and fixation:

  • For fluorescence analysis, performance of brain perfusion prior to brain / spinal cord harvest.
  • Harvesting the organs by valid procedures to avoid artifacts.
  • Fixation of organs in 4% PFA and storage at 4°C.
  • Sample labeling and administration.

Brain, localization 1, striatum                                         Brain, localization 2, dorsal hippocampus

Brain, localization 3, cerebellum and                                      Brain, optional localization 4,

medulla oblongata                                                                       cerebrum and pons.

Abbreviations used in the above images:

Ac: anterior commissure, C: cerebellum, Cc: cerebral cortex, Cca: corpus callosum, H: hypothalamus,

Hc: hippocampus, Mo: medulla oblongata, O: optic chiasm, P: pons, Sr: striatum, T: thalamus

 

Tissue preparation and trimming

  • Preparation of the appropriate cross­section in the organ for representative exposure.
  • Assurance of having the relevant anatomical structure in the same position for all samples.
  • Use of brain matrix system for this purpose.
  • Replacement of all cross­sections for all animals in the same block position.

Tissue processing and slide production

  • Use of high­standard tissue processor with an accurate program for each tissue type.
  • Highly trained technician for block production and sectioning.
  • Production of top­quality histological slides for interpretation and analysis.

The choice of histological tools for measuring your desired end­points

Common stains and IHC markers used in CNS models

Choice of the best tool depends on the scientific aim and the relevant endpoint.

  • H&E: Used for general morphology and quantification of lesions.
  • Demyelination: MBP for myelin, Olig­2 for total oligodendrocytes, NG2 for young oligodendrocytes.
  • GFAP: for Astrocytes
  • Iba­1: For Microglia
  • NeuN:For neuron count
  • ChAT:For motor neurons
  • NF: For total neuron fibers
  • TH: For Dopamine­/norepinephrine­ producing cells (PD)
  • beta­Amyloid, Tau­P: For Protein products (AD)

Stroke (MCAO) study in a rat model. Left intact hemisphere, right affected side. Note the loss of myelin and increase of microglia.

Accuracy of the analytical process

Analytical process

  • Double­blind examination by an experienced pathologist
  • Semi­quantitative vs. morphometry analysis
  • Image analysis•Whole­slide scan (digital slides)
  • Advanced digital analysis•Accurate data
  • Avoid bias between pathologists

Ku­80 for human cells in treated brain infarct in a rat (MCAO) model.

TH (Tyrosine Hydroxylase) measurements in the SNc (substantia Nigra pars Compacta).

MBP quantification using segmentation analysis.

The post CNS Models in Rodents appeared first on pathologica.

]]>
Calibration of IHC for Covid-19 virushttps://www.patho-logica.com/calibration-of-ihc-for-covid-19/ Sun, 18 Oct 2020 07:27:29 +0000 https://www.patho-logica.com/?p=1810Calibration of IHC for Covid-19 virus in Golden Syrian Hamsters Dr. Emmanuel loeb, Dr. Zohar Gavish, Patho-Logica Ltd. Results: The objective was to detect a specific IHC signal in relevant structures of the lung in paraffin sections (4 microns thick). Two animal groups were examined: covid-19 intranasal infected hamsters and a Naïve group. Primary serum […]

The post Calibration of IHC for Covid-19 virus appeared first on pathologica.

]]>
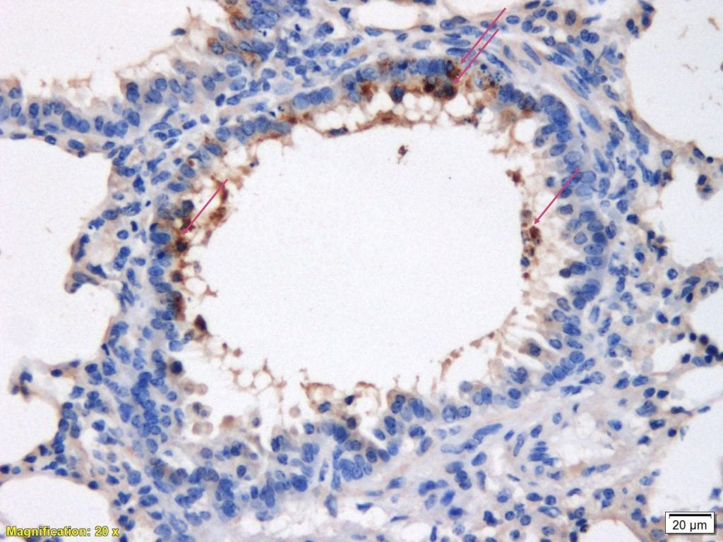
Calibration of IHC for Covid-19 virus in Golden Syrian Hamsters

Dr. Emmanuel loeb, Dr. Zohar Gavish, Patho-Logica Ltd.

Results:

  • The objective was to detect a specific IHC signal in relevant structures of the lung in paraffin sections (4 microns thick).
  • Two animal groups were examined: covid-19 intranasal infected hamsters and a Naïve group.
  • Primary serum Ab was diluted to 1:6000. This was the optimal concentration for the IHC reaction.
  • The results showed positive reaction in the infected animals only. The positive structures were alveolar macrophages, Ln. macrophages, bronchial epithelium and Clara cells.
  • In the Nasal Cavity positive reaction were noted in respiratory epithelium, macrophages, lacrimal glands and in inflammatory cells.

 

Left picture, Naïve animal showing negative signal with some slight non-specific background staining.
Right picture, Affected animal. Low mag. Alveolar macrophages are loaded with positive marked virus in their cytoplasm.

 

Lung, Positive alveolar macrophages (red arrows), Note the different macrophages with different stain intensities. X20 IHC for Covid-19.

 

Lung, Positive alveolar macrophages (red arrows), X20 IHC for Covid-19.

 

Bronchial Lymph Node, medulla sinuses, migrating macrophages, Positive staining (red arrows), X10 IHC for Covid-19.

 

Bronchial Lymph Node, medulla sinuses, Positive macrophages (red arrows), X20 IHC for Covid-19.

 

Lung, bronchioles, positive reaction in lumen (debris) and in  bronchial epithelial cells.  (red arrows), X20 IHC for Covid-19.

 

Lung, bronchioles, positive reactions in luminar debris and in few bronchial epithelium cells.  (red arrows), X20 IHC for Covid-19.

 

Lung, bronchioles, positive reactions in luminar debris and in few bronchial epithelium cells.  (red arrows), X20 IHC for Covid-19.

 

Lung, bronchioles, positive reactions in luminar debris and in few bronchial epithelium cells.  (red arrows), X20 IHC for Covid-19.

 

Left picture, Animal #201, Naïve animal showing negative signal.
Right picture, Animal #193. Low mag. Respiratory epithelium and submucosa are loaded with positive reaction for the virus.

 

Nasal Cavity, positive reaction in the basal cells of the epithelium (red arrow) and in blood vessels (yellow arrow), X20 IHC for Covid-19.

 

Nasal Cavity, positive reaction in basal cell layer (red arrows) and in cells the submucosa (blue frame), X20 IHC for Covid-19.

 

Nasal Cavity, positive reaction in the glands  including secretion (red arrows), X20 IHC for Covid-19.

 

Nasal Cavity, positive reaction in the surface of the respiratory epithelium (red arrows), X20 IHC for Covid-19.

 

Nasal Cavity, positive reaction in the affected respiratory epithelium (red arrows), X20 IHC for Covid-19.

The post Calibration of IHC for Covid-19 virus appeared first on pathologica.

]]>
Digitalization of Pathologyhttps://www.patho-logica.com/digitalization-of-pathology/ Thu, 17 Sep 2020 08:25:14 +0000 https://www.patho-logica.com/?p=1781How Artificial Intelligence (AI) and Deep Learning (DL) processes are shaping and influencing the work of the experimental pathologist.   Introduction Technology developments have changed and will continue to change many fields. When it comes to science and precise data, technology developments are becoming a real challenge for professionals such as pathologists who are used […]

The post Digitalization of Pathology appeared first on pathologica.

]]>
How Artificial Intelligence (AI) and Deep Learning (DL) processes are shaping and influencing the work of the experimental pathologist.

 

Introduction

Technology developments have changed and will continue to change many fields. When it comes to science and precise data, technology developments are becoming a real challenge for professionals such as pathologists who are used to certain work frames. Glass-stained slides have been the source material for the pathologist to gain information and data using microscopes, observational skills, experience and medical knowledge. The experimental pathologists can observe tissue changes and reflect those to the scientist who is confronted with scientific questions and hypotheses. Experimental pathologists involved in research of tissue samples from laboratory animals serve the academic world and the industrial platform of new drug and medical device development. Their way of reading and interpreting slides differs dramatically from colleagues who are reading slides for medical diagnosis.

This commentary is focused on the work patterns of those pathologists who are assessing animal study histology for the purpose of new pharmaceutical development and how the latest technological advances can influence their work frame.

The historical task of the pathologist in the pharmaceutical industry has been to assure that product candidates are fully assessed for any harm to normal tissues and that medical devices are evaluated for tolerability as invasive devices and in procedures. Animal studies that provide data showing satisfactory drug tolerability give the developer the comfort to proceed with product development for initiating and continuing clinical trials, hopefully for eventual regulatory approval (FDA, EMEA) as a commercial product. This approach by pathologists, called toxicological pathology, became an important branch in the repertoire of experimental pathology tasks, encompassing the knowledge tissue responses to different drugs as documented in specialized journals.

A second branch for pathologists has been efficacy studies in animal models that are employed to evaluate the potential of a drug to improve a condition or pathological process comparable to that in the target human disease. Animal models that reflect the human disease are created by transgenic technology or chemical, surgical or behavioural applications. Pathologists evaluate drug activity using different model parameter endpoints that are relevant for the target disease and pathology. Histological features are evaluated in animal efficacy study for current and candidate drugs and in different doses and regimens and if applicable in combination with other drugs relative to relevant negative and positive control groups. The validation of an animal model for relevance to human disease is a very complex and challenging process for academic and contract research institutes such as Jackson Laboratories.

 

The bias problem among pathologists

Bias has been of much concern to pathologists, each of whom has strengths and weaknesses in experience and knowledge of different tissues, tasks and techniques, which lead to subjectivity in the interpretation of results. To improve objectivity, tools have been developed such as second opinions and peer reviews by additional pathologists. Such bias has been less of a problem in toxicological safety studies, where the tolerance of tissue lesions has been very low. On the other hand, bias has been a bigger challenge for animal model efficacy studies. Comparing a new drug with a licenced drug could show minimal differences and inaccuracies by histology, which is partially subjective, thus leading to misinterpretations of data. Thus, it has been essential to develop quantitative and more accurate techniques such as LCMS/MS, HPLC and ELISA for evaluating tissues, blood and other fluids. Moreover, surveys have indicated the importance of microscopy image analysis for biological research.

 

Digital Image Processing (DIP), Deep Learning (DL) and digital slides interpretations.

New tools have been developed to extract objective information from images of complex structures such as cells and tissues. Besides traditional glass histological slides, digital slides transform scans of whole glass slides into high-resolution digital presentations of cells or tissues. Whole Slide Imaging (WSI) provides the pathologist a large database that can be analysed using digital tools such as morphometric operations, colour-based segmentation, colour deconvolution, thresholding, and clustering. These digital tools provide substantial qualitative and quantitative benefits in assessing pharmacologic effects and drug efficacy. These tools enable the pathologist to work accurately in visualizing data for characterizing relevant tissues and organelles and measuring structures such as alveoli or myofibers to identify different pathologies. Digital tools also enable pathologists to accurately and objectively extract data from tissues without bias or subjectivity, unlike the semi-quantitative method of lesion evaluation using grades and scores. Using the proper tool and stain, automatic quantifications and standardizations can be made, e.g., cell count, degree of fibrosis or myelinated fibers, and analysis of relevant tissue regions. Another rapidly developing field is Deep Learning (DL) for performing pattern recognition of histological components such as inflammatory cells, necrotic tissue, epithelium layers, blood vessels, cell membranes and organelles, collagen fibers, and organ components. The system is a paperless archive that can be automated into a ‘digital pathologist’ for identifying pathological features such as necrosis, oedema, inflammation neoplasia, atrophy and hypertrophy.

 

Example. Morphometric quantification of the amount fibrous tissue of diaphragm striated muscle in a MDX mouse model for muscular dystrophy as a tool for drug development.

The computation of relative fibrosis area seen in S stain slides (Figure 1) is followed by conversion to a digital slide (Figure 2) by MATLAB Color-Based Segmentation using the L*a*b* Color Space derived from the CIE XYZ tristimulus values and consisting of a luminosity ‘L*’ or brightness layer, chromaticity layer ‘a*’ indicating where color falls along the red-green axis, and chromaticity layer ‘b*’ indicating where the color falls along the blue-yellow axis. We chose a small sample region for each tissue and used these color markers to classify each pixel. The relative area was calculated as the (fibrosis area) / (muscle+fibrosis area).

Figure 1. Diaphragm striated muscle. Slide of affected striated muscle stained with Serius Red (S stain), which shows amount of fibrous tissue between atrophic muscle fibers (yellow).
Figure 2. Diaphragm striated muscle. Digital slide showing tissue segmentation done by MATLAB Color-Based Segmentation using  the L*a*b* Color Space.

 

Impact of histology slide digitalization, data processing & analysis on the pathologist’s work

These advanced digital tools enable the pathologist to evaluate cells and tissues more accurately and objectively. The expertise of the pathologist is needed for excellence in study planning, e.g., selecting the most appropriate animal model, choosing the best histology end points, optimizing the technical approach, and of course evaluating the specimen. The pathologist plays a central role in protocol design and study termination, including the tissue harvesting process. This planning also includes selecting staining types, relevant IHC markers and other histological tools (e.g., ‘free floating sections’ or plastic embedding sections), and assuring that technical aspects are optimized, including sample quality and slide grade and number per animal or organ. In the final phase of sample evaluation and interpretation, the pathologist controls the automated digital system, compares representative slides, and probes for deviated results or possible errors of digital slides relative to the glass slide. The pathologist also has a key role in the interpretation of histology results, using pathological and medical knowledge and experience to place the results in the proper context. Moreover, the advanced digital tools provide for a high level of quality control that is very important for regulatory and clinical filings and for due diligence reviews to support fund-raising and strategic collaborations with pharmaceutical development partners.

In summary we strongly believe that the introduction of the digital slide is a great opportunity of great benefit to the pathology discipline in general. We also think that this technology will improve our field of expertise by reducing bias and assuring more accurate results. This will improve the role of histology in efficacy studies compared to other measurement methods. Furthermore, the DL process will shed light on new pathological features and anatomical structures (e.g., the recently discovered glymphatic system). Furthermore digital slide image analysis will free the time od the pathologist, allowing him / her to have more time to focus on understanding pathogenesis, study designs, checking accuracy of the scientist work and hypetheses, instead of spending the all day counting cells.

The post Digitalization of Pathology appeared first on pathologica.

]]>
Treatment in Peripheral Nerve Injuryhttps://www.patho-logica.com/photobiomodulation-triple-treatment/ Tue, 18 Aug 2020 13:57:40 +0000 https://www.patho-logica.com/?p=1634Photobiomodulation Triple Treatment in Peripheral Nerve Injury: Nerve and Muscle Response Mira M. Mandelbaum-Livnat, PhD,1 Mara Almog, PhD,1 Moshe Nissan, PhD,1 Emmanuel Loeb, DVM,2 Yuval Shapira, MD,1 and Shimon Rochkind, MD, PhD1 Abstract Background: Muscle preservation or decrease in muscle degeneration and progressive atrophy are major challenges in patients with severe peripheral nerve injury (PNI). […]

The post Treatment in Peripheral Nerve Injury appeared first on pathologica.

]]>
Photobiomodulation Triple Treatment in Peripheral Nerve Injury: Nerve and Muscle Response

Mira M. Mandelbaum-Livnat, PhD,1 Mara Almog, PhD,1 Moshe Nissan, PhD,1 Emmanuel Loeb, DVM,2 Yuval Shapira, MD,1 and Shimon Rochkind, MD, PhD1

Abstract
Background: Muscle preservation or decrease in muscle degeneration and progressive atrophy are major challenges in patients with severe peripheral nerve injury (PNI). Considerable interest exists in the potential therapeutic value of laser phototherapy (photobiomodulation) for restoring denervated muscle atrophy and for enhancing regeneration of severely injured peripheral nerves. As previously published, the laser phototherapy has a protective and immediate effect in PNI. Laser phototherapy in the early stages of muscle atrophy may preserve the denervated muscle by maintaining creatinine kinase (CK) activity and the amount of acet- ylcholine receptor (AChR). Objective and Methods: In the present study, the effectiveness of triple treatment laser phototherapy, namely, applied simultaneously at three areas: injured area of the peripheral nerve, cor- responding segments of the spinal cord, and corresponding denervated muscle (triple treatment), was evaluated for the treatment of incomplete PNI in rats with the ultimate goal of achieving improved limb function. Results: Forty-five days after the sciatic nerve insult, all rats regained normal walking (functional sciatic index values returned to baseline); however, the long laser irradiation (7 min) group presented the fastest recovery as opposed to short laser irradiation (3 min). A histological evaluation of the nerves revealed that long laser irradiation led to a higher amount of neuronal fibers that were larger than 4 lm (543 – 76.8, p < 0.01) than short irradiation
(283 – 35.36). A histological evaluation of muscular atrophy showed that long laser irradiation evolved with
significantly less muscle atrophy (8.06% – 1.23%, p < 0.05) than short irradiation (24.44% – 7.26%). Conclu- sions: The present study and our previous investigations showed that the laser phototherapy increases bio- chemical activity and improves morphological recovery in muscle and, thus, could have direct therapeutic applications on muscle, especially during progressive atrophy resulting from PNI.

Keywords: laser therapy, nerve regeneration, peripheral nerve injury, muscle/musculoskeletal system, nerve

Introduction
it has been estimated that the incidence of peripheral nerve injuries due to trauma is about 300,000 cases per year.1 The high prevalence of neurological lesions has prompted the medical community to search for effective so- lutions that can enhance recovery of the injured nerve and decrease the progression of muscle atrophy associated with nerve injury. Recent developments in nerve reconstructive techniques and intensive rehabilitation treatment enabled the reduction of nerve recovery time.

Among the various proposed therapeutic methods, photo- therapy received increasing attention for enhancing nerve repair. The term phototherapy refers to the use of light for producing a therapeutic effect on living tissues. An extensive review of the literature2 showed that more than 80% of the experimental studies carried out on the use of laser photo- therapy for promoting peripheral nerve repair led to a positive outcome on post-traumatic/postoperative nerve recovery.

The restoration of the injured peripheral nerve prevents the progression of the muscle atrophy process and allows functional recovery. However, restoring functions in the case of long-term peripheral nerve injury (PNI) is still dif- ficult, since progressive muscle atrophy sets in shortly after nerve injury.3–7 For this reason, therapeutic solutions that can lessen muscle degeneration during the period of nerve recovery can increase the probability of early recuperation of functional motor activity. In the past decade, interest in the therapeutic effect of laser phototherapy on muscle has risen sharply.

The present study applied an experimental peripheral nerve crush model to test the impact of triple treatment laser photo- therapy on atrophic gastrocnemius muscle in case of incom- plete PNI. The triple treatment includes irradiation on three areas: injured peripheral nerve, corresponding segments of spinal cord, and corresponding denervated muscle (gastrocne- mius). This was performed to evaluate the added value of irradiating the corresponding muscle on the injured nerve recovery. The impact of laser phototherapy was evaluated by using two irradiation periods, 3 min irradiation and 7 min irra- diation, to evaluate the effect of the amount of energy delivered.

Materials and Methods
A blind, randomized controlled study was performed to evaluate the efficacy of triple treatment laser phototherapy as a treatment for: (1) incomplete PNI—crush injury model, and (2) muscle preservation after crush PNI and to evaluate the effect of short and long laser irradiation. All animal experiments were approved by the Institutional Animal Care and Usage Committee and adhered strictly to the Animal Care guidelines.

Thirty female Wistar rats, weighing 200–250 g each, were brought to the vivarium 2 weeks before the surgery and housed two per cage with a 12-h light/dark cycle, with free access to food and water. The animals were marked, and each animal was ascribed to a test group by an independent researcher. The study was conducted by using an experimental model for producing an incomplete PNI that has been described.8,9

General anesthesia was induced with an intraperitoneal injection of xylazine (15 mg) and ketamine (50 mg). All surgical procedures were performed by using aseptic sur- gical techniques and under a high magnification microscope. Depilation of the surgical site was accomplished with an electric animal clipper. The area was vacuumed to remove hair clippings and debris, and it was then rinsed with alcohol (Alcohol Chlorexdine 0.5% w/v Chlorexdidine Gluconate in 70% v/v Isopropanol).

The left sciatic nerve was exposed and separated from biceps femoris and semimembranosus muscles, beginning from the area of branches to the glutei and hamstring muscles and distally to the trifurcation into peroneal, tibial, and sural nerves. The incomplete sciatic nerve injury was induced by the standard method of 30 sec crush by using a standard hemostat. The muscular, subcutaneous, and skin layers were closed by using silk 3–0 sutures. Rats were divided into three experimental groups: 3 min laser irradia-

tion (n = 10); 7 min laser irradiation (n = 10); and control group with no laser irradiation (n = 10).

Laser irradiation
Rats were induced under general anesthesia with an in- traperitoneal injection of xylazine (15 mg) and ketamine (50 mg). The control group was given anesthesia for 14 consecutive days with no further intervention, whereas the other groups were followed by 780 nm laser irradiation for 14 consecutive days, in accordance with their affiliation: (1) 3 min laser irradiation and (2) 7 min laser irradiation to each of the irradiated areas.

During laser irradiation, the rats were placed on the ab- domen and the laser was placed above the three irradiated areas: (1) injured area of the peripheral nerve, (2) corre- sponding segments of the spinal cord, and (3) corresponding gastrocnemius muscle. The laser was calibrated before ir- radiation; then, it was placed 11 cm above the skin, and its power was set at 250 mW with a spot size of 5 · 6 mm (1.061 W/cm2). In 3 min per spot group, the energy was P · T = 250 mW · (3 · 60) sec = 45 J, and the fluence was

45 J/0.2356 cm2 = 191 J/cm2. In 7 min per spot group, the energy was P · T = 250 mW · (7 · 60) sec = 105 J, and the fluence was 105 J/0.2356 cm2 = 446 J/cm2.

Functional evaluation
Functional sciatic index (FSI) evaluates the functionality of the operated limb compared with the intact limb. After dipping the rat’s hindlimbs in black nontoxic ink, it is re- leased to walk along a 40 cm-long, 10 cm-wide tract, with sealed sides and top, ending in a dark box. The ink on the ambulating rat’s hindlimbs leaves tracks on an underlying paper. These imprints have basic characteristics, such as maximal distance between anterior and posterior footprint margins (PL), distance between fingerprints 1–5 (TS) and 2– 4 (ITS). The formula used for measuring FSI is:

FSI ¼ – 38:3 · (EPL – NPL)=NPL þ 109:5

  • (ETS – NTS)=NTS þ 13:3
  • (EITS – NITS)=NITS – 8:8:

The letter N or E before the variables denotes Normal or Experimental limbs, respectively. An FSI value of 0 indicates a good functional recovery of the operated limb compared with the intact limb. The closer the number is to 100, the more complete is the denervation of the limb. The FSI test was conducted preoperatively (baseline) and at 7 (during laser irradiation period), 14 (at the end of laser irradiation period), and 45 days postoperatively (at the end of the study).

Histology evaluation
The rats were sacrificed by lethal doses of CO2 45 days after the surgical procedure. Thereafter, sciatic nerves and muscles were collected from all tested rats. Sciatic nerve samples were taken both proximally and distally to the in- jury site and fixed in 10% neutral buffered formalin (*4% formaldehyde solution).

The sciatic nerve was cut into three different cross- sections: proximal, mid, and distal. The muscles were kept in fixative for a routine H&E staining. Tissues were processed routinely, embedded in paraffin, and sectioned on a Lika microtome  at  7 lm  thickness.  Deparaffinization  and  rehy- dration of sections were performed according to classical procedures. Slides were placed in xylene for 10 min (three times) followed by a serial 5 min wash in ethanol (100%, 95%, 70%), and they were finally rinsed in PBS (three times). Sections were placed in a Coplin jar with dilute antigen retrieval solution (10 mM citrate acid, pH 6), and they were heated in a microwave to 95°C–100°C for 10 min.
After rinsing in PBS (three times), the slides were blocked with 20% normal horse serum in PBS for 1 h at 37°C and they were incubated with first antibody [CHat or NeuroFilament (NF)] in 2% normal horse serum in PBS ON at RT. CHat stains only motor neuron fibers, whereas NF stains all nerve fibers. The next day, after three washes with PBS, slides were incubated with biotinylated (AP)- conjugated secondary antibody for 1 h at RT. The slides were washed with PBS (three times) and were incubated for an additional hour with cy3-conjugated streptavidin. After three washes with PBS, the slides were cover-slipped with aqua PolyMount.
The slides were visualized under a fluorescent micro- scope, and photographs were taken with a high-resolution camera (E-600; Nikon, Kawasaki, Japan) that was con- nected to a computer. For each sample, two photos were taken: only CHat staining and a merged picture with both CHat and NF. The samples were evaluated by using a fluorescence microscope (20 · increase), counting both the number of nerve fibers and the sizes of the fibers (under 4 lm or above it).

A blinded digital morphometric analysis was performed by using Image-Pro Plus 4.1 The area of the Chat-positive reaction (functional motor neuron), versus area of total neurons (NF) is measured to count the number of neurofi- laments in each sample, both proximal and distal to the crush injury area, in relation to the fiber’s size: (1) NF <4— the amount of all fibers that are smaller than 4 lm; (2) CHat

<4—the amount of motor fibers that are smaller than 4 lm;

(3) NF >4—the amount of all fibers that are larger than 4 lm; and (4) CHat >4—the amount of motor fibers that are larger  than  4 lm.  Fibers  that  are  larger  than  4 lm  are  con- sidered better, therefore a higher amount of fibers, especially motor fibers that are larger than 4 lm, points toward better regeneration.10

A histopathological evaluation was carried out to assess the regeneration of the neuronal fibers after a crush injury and to assess the efficacy of various treatments.

The condition of the gastrocnemius muscles was assessed histologically by using a fluorescence microscope. The gastrocnemius muscles of 30 rats were fixed in 10% neutral buffered   formalin   (*4%   formaldehyde   solution).   From each muscle, a cross-section and a longitudinal cut were made. Tissues were trimmed, embedded in paraffin, sec- tioned at *2–3 lm thickness, and stained with HE stain.

Thereafter, they were evaluated for the grade of atrophy by using the percentage of loss of myofibers per 10 · mag- nification: 0 = normal muscle (compared with the normal, untreated nerve in the right leg); 1 = mild atrophy with loss of up to 10% myofibers; 2 = moderate atrophy with loss of up to 50% myofibers; and 3 = severe atrophy with loss of more than 50% myofibers. To have a more accurate analysis of results, a further evaluation of the absolute number of atrophy percentage was performed.

Statistical analysis
All statistical analysis and calculations were performed by MatLab software (Ver. 2008b; The MathWorks, Inc.). The data analysis of the nerve samples (histology) was carried out on a total area of 146,000 lm2 and sampled for cells that were colored with NF (color all nerve fibers) and Chat (color only motor nerves). Due to the small group size, a nonparametric analysis was performed: Wilcoxon signed- rank test (p) for related samples. Statistical significance was calculated for each parameter [type of nerve and location on the nerve (proximal versus distal)], in addition to proximal/ distal ratio between all groups.

The muscle atrophy data analysis was carried out on a total of 60 rats, since another control was added—the other limb with no insult. The state of the muscle was noted as well on the following grade scale: (0) normal muscle (com- pared with the normal, untreated nerve in the right leg); (1) mild  atrophy  with  loss  of  up  to  10%  myofibers  per  10 · magnification; (2) moderate atrophy with loss of up to 50% myofibers per 10 · magnification; and (3) severe atrophy with loss of more than 50% myofibers per 10 · magnification. Statistical analysis was calculated on the raw data of the loss percent, and parametric analysis was applied: The data were average with standard deviation. Statistical significance was calculated by using Student’s t distribution (t-test).

Results

Peripheral nerve regeneration analysis
A  functional  evaluation  was  performed  before  insult, 7   days  postsurgery   (the  middle  of  irradiation   period), 14 days postsurgery (the end of irradiation period), and    45 days postsurgery (end of study). Forty-five days after the injury, all rats returned to normal walking according to FSI; however, the pattern of recovery was different among the groups.  The  group  that  underwent  7 min  irradiation was shown to evolve with faster recovery in comparison to 3 min irradiation and control (no irradiation). Interestingly, the     3 min irradiation evolved with the slowest recovery pattern (Fig. 1). Due to a major problem of autotomy (self-eating of fingers), it was not possible to perform a statistical analysis; however, the response patterns were clearly seen.

A histological and morphometric analysis was per- formed to evaluate the effect of laser irradiation on the amount of neuronal fibers, including motor fibers, and the quality of the fibers. The division according to quality was based on fibers greater than 4 lm and smaller than 4 lm.

A comparison of the amount of neuronal fibers between short (3 min) and long laser irradiation (7 min) revealed a significant difference ( p < 0.01);  whereas  irradiation  for 7 min evolved with a higher amount of all fibers larger than 4 lm   at   the   distal   position,   543 – 76.8   as   opposed   to 283 – 35.36. However, a comparison to the control exhibited significant differences compared with the short irradiation, where short irradiation evolved with less neuronal fibers larger  than  4 lm  at  the  distal  position,  283 – 35.36  as  op- posed to 555 – 54.16. A comparison of motor fibers evolved with significant differences (p < 0.05) at the distal position in   fibers   larger   than   4 lm,   96 – 44.88   as   opposed   to 186 – 53.12 (Figs. 2 and 3).

FIG. 1. FSI—a comparison be- tween short (3 min) and long laser ir- radiation (7 min) to control (crush injury with no further treatment). Rhombus—control, square—short laser irradiation, triangle—long laser irradiation. Pre-evaluation of FSI before sciatic nerve injury and 7, 14, and 45—number of days after sciatic nerve injury. FSI, functional sciatic index.

FIG. 2.  Cross-section of sciatic nerves stained with NF (stains all NF) and CHATt (stains motor fibers). 4 · magnification

  • NF merged with chat. Yellow—cross-linking of NF and Chat—motor axons. Red—other NFs. (B) Chat staining. Green—motor axons. NF,

FIG. 3. A comparison of control, short, and long laser irradiation in relation to the number of nuronal fibers in both the proximal and distal areas. Results are presented in median – mad. *Significant difference of p < 0.05 and **significant difference of p < 0.01. Black—control, dark gray—short laser irradiation, and bright gray—long laser irradiation. NF— staining of all nuronal fibers. Chat—staining of motor fibers. NF <4 prox—neuronal fibers smaller than 4 lm at the proximal area, Chat <4 prox—motor fibers smaller than 4 lm at the proximal area, NF >4 prox—neuronal fibers larger than 4 lm at the proximal area, Chat >4 prox—motor fibers larger than 4 lm at the proximal area, NF <4 dis—neuronal fibers smaller than 4 lm at the distal area, Chat <4 dis—motor fibers smaller than 4 lm at the distal area, NF >4 dis—neuronal fibers larger than 4 lm at the distal area, and Chat >4 dis—motor fibers larger than 4 lm at the distal area.

FIG. 4. Levels of muscular atrophy. The gastrocnemius muscles were stained by us- ing an HE stain and evalu- ated for the grade of atrophy per 10 · magnification. (A) Grade 0—monotonic myofi- ber volume. (B) Grade 1—A focal area of atrophy (black arrows) with hypercellular condition. Note the small volume of the myofibers. Purple—satellite cells. (C) Grade 2—a large area of at- rophy (black arrows) with hypercellular condition. Note the small volume of the myofibers. (D) Grade 3—a diffuse area of atrophy with hypercellular condition. Note the small volume of myofi- bers and the increase of col- lagen fibers (fibrosis)—white arrows and the large amount of satellite cells.

Muscular atrophy analysis
The muscle atrophy grade of the healthy limb was 0 in all rats, whereas the muscle atrophy grade of the control, non- irradiated insulted limb ranged between 0 and 35. In the group irradiated for 3 min, it ranged between 10 and 65; whereas in the group irradiated for 7 min, it ranged between 0 and 10. A statistical evaluation of muscular atrophy (Figs. 4 and 5) revealed that laser irradiation for 7 min evolved with significantly less muscle atrophy (8.06% – 1.23%, p < 0.05), as opposed to 3 min of irradiation (24.44% – 7.26%), but with no significant difference in the control group.

Discussion
PNI, complete or incomplete, is common. The recovery process for a peripheral nerve-injured patient, either with or without surgical intervention, is lengthy in duration (ranges from 6 to 24 months) and often incomplete. The current treatments, such as physiotherapy, occupational therapy, and electrical stimulation, are insufficient, especially in cases of severe nerve injury. In the majority of cases, patients remain with a loss of sensory and motor functions, which lead to severe occupational and social consequences.

The beneficial effect of laser phototherapy on injured peripheral nerves was already published extensively.2,11,12 Moreover, 780 nm laser phototherapy was found to stimu- late migration and fiber sprouting of neuronal cell aggre- gates, enhancing the development of large-sized neurons with a dense, branched interconnected network of neuronal fibers.13 However, most of the studies focus on treatment of the site of the nerve injury only; whereas the main goal of restorative medicine is muscle preservation and the preven- tion of often debilitating joint contractures.

When muscles are denervated, they deteriorate progres- sively. Prolonged denervation causes multiple functional and morphological changes in skeletal muscle due to the absence of motor and trophic regulatory control by the nerve. The most prominent features of denervated skeletal muscles are the rapid atrophy of muscle fibers and a de- crease in the number of both myonuclei and satellite cells.4,6,14 One of the main explanations for the incomplete restoration of very long-term denervated muscle is the failure of regenerating nerves to reach all of the atrophic muscle fibers and to establish mature muscle–nerve con- tacts.15 If not reinnervated, the regenerating myofibers un- dergo atrophy and degeneration. To lessen or temporarily prevent this process, laser phototherapy may be an effective tool that preserves denervated muscle until nerve sprouting into the muscle occurs.

Our previous work has indicated that the use of low- power laser irradiation on the injury site and/or on the spinal cord segment related to the injured nerve enhances the re- habilitation process of the injured limb. Further, it was found that irradiation of the denervated muscle assists in prevention of muscle atrophy.16–18

In the current study, the effect of triple treatment laser phototherapy was evaluated, namely, irradiation of three ar- eas: injured peripheral nerve, corresponding segment of spi- nal cord, and corresponding muscle. This was evaluated in two lengths of irradiation influencing the amount of energy delivered: 3 and 7 min irradiation. We found that the amount of energy delivered to the rat affects total nerve regeneration. The triple treatment irradiation of 780 nm for 7 min was more effective in promoting total nerve regeneration than 3 min irradiation. Further, laser phototherapy significantly de- creased the atrophy of corresponding muscles.

Triple treat- ment irradiation was found to preserve muscle from denervation. Irradiation of 7 min was shown to better preserve from muscle denervation than 3 min irradiation.

These results suggest that photobiomodulation treatment can accelerate muscle restoration during the postinjury pe- riod, and it could have direct therapeutic applications for the preservation of denervated muscle after PNI.

Further studies are underway, and they will include function assessment and electrophysiological assessment. Promising results could lead to the eventual application of photobiomodulation triple treatment in the clinical practice for achieving improved limb function in patients with in- complete PNI.

FIG. 5. Muscle atrophy—a comparison of all groups. Results are presented as mean – SE. *Significant difference of p < 0.05. Control—crush injury with no further treatment, Short—short laser irradiation (3 min), and Long—long laser irradiation (7 min).

Possible mechanism
We have previously suggested that the function of dener- vated muscles can be partially preserved by temporary pre- vention of denervation—induced biochemical changes.17,18 It was found that He-Ne laser treatment of lesioned muscles could increase mitochondrial activity in muscular fibers, activate fibroblasts19 and macrophages, and stimulate an- giogenesis.15 In addition, irradiation of muscle cell cultures (632.8 nm, 3 J/cm2, 20 mW) led to a rise in the levels of the neurotropic nerve growth factor, secreted by skeletal mus- cles that influence the survival and regeneration of sympa- thetic neurons in the peripheral nervous system.20 Other neurotropic growth factors have been reported to be biosti- mulated by laser therapy, such as GAP-43.21

It was demonstrated that laser treatment promotes an in- crease in Collagen IV immunolabeling in skeletal muscle after cryoinjury22 and decreases IL-1B expression during the skel- etal muscle repair after acute injury.23 Further, laser irradiation on intact muscle, muscle cells,16 and denervated muscle18 could have a therapeutic effect that induces biochemical changes, which might be a trophic signal for increased activity of creatinine kinase (CK), thus preserving a reservoir of high-energy phosphate that is available for quick resynthesis of ATP and that would enable the survival of AChR.

The data collected from different experimental studies support our results and help in understanding the mechanism of influence of low-power laser irradiation (visible and near- infrared wavelengths) and muscle tissue. It has been demon- strated that reactive oxygen species formation, oxidative damage markers, and augmented collagen synthesis are eli- cited by traumatic muscular injury, effects that are signifi- cantly decreased by laser treatment.24 An evaluation of mitochondrial respiratory chain complexes and succinate de- hydrogenase activities after traumatic muscular injury showed that the laser treatment may induce an increase in ATP syn- thesis, and that this may accelerate the muscle-healing pro- cess25 and delay fusion of cultured myoblasts.26 The increase of muscle fiber area and mitochondrial density after laser treatment was reported after muscle toxic injury.27,28

The process of regeneration in denervated muscles was markedly enhanced in muscle that was irradiated by laser before injury, probably by activation (stimulation of pro- liferation and/or differentiation) of cells in the muscles that are ‘‘recruited’’ and participate in the process of regenera- tion.18,29 In the model of prolonged muscle ischemia, laser treatment decreased post-traumatic changes in creatine ki- nase and lactate dehydrogenase.30 A positive effect on muscle metabolism was found after cryolesion injury, whereas cyclo-oxyge 2 (COX-2) immunoexpression was lower in the laser-treated group. COX-2 is a key enzyme in the conversion of arachidonic acid to prostanoids.31 The expression of COX-2 is relevant to many pathological pro- cesses, including inflammation and tissue repair.

Recently, we found18 that laser irradiation on the dener- vated muscle has a significant protective effect at two time periods: during the first period of 21 days for AChR and at 30 days for CK activity. We found that in the early stages of muscle degeneration, laser treatment may temporarily pre- serve AChR and CK in the denervated muscle close to its initial level before injury, and it may partially maintain CK activity and the amount of AChR in the denervated muscle during the consecutive stages of muscle degeneration. This laser effect confirms our previous results on muscle cells and intact muscles.16

At the cellular level, we also found increased DNA syn- thesis and CK activity in young and mature skeletal muscle. The induced biochemical changes may be attributed to trophic signals for increased activity of CK, thus preserving a reservoir of high-energy phosphate that is available for quick resynthesis of ATP. These findings are supported by early results by Bo- lognani and Volpi32 and Passarella et al.33 and recently by Ferraresi et al.,34 who showed that laser irradiation increased ATP production in the mitochondria. The biochemical cascade that occurs in the affected muscle eventually enhances mor- phological muscle recovery that is shown in the present study. The current study and our previous publications16,18 as well as other reports 22–24,35 suggest that laser phototherapy may en- hance biochemical activity and morphological recovery of the muscle to overcome stress conditions.

Conclusions
The present study shows that laser phototherapy improves morphological recovery in muscle and, thus, could have direct therapeutic applications on muscle, especially during progressive atrophy resulting from PNI.

Acknowledgments
This work was supported by the Israeli Ministry of De- fense, Grant No. 2500. The authors thank Mr. Igal Koifman for his guidance on laser devices.

Author Disclosure Statement
No competing financial interests exist.

References

  • Ciardelli G, Chiono V. Materials for peripheral nerve re- generation. Macromol Biosci 2006;6:13–26.
  • Gigo-Benato D, Geuna S, Rochkind S. Phototherapy for enhancing peripheral nerve repair: a review of the litera- ture. Muscle Nerve 2005;31:694–701.
  • Grinsell D, Keating CP. Peripheral nerve reconstruction after injury: a review of clinical and experimental therapies. Biomed Res Int 2014;2014:698256.
  • Borisov AB, Carlson BM. Cell death in denervated skeletal muscle is distinct from classical apoptosis. Anat Rec 2000;258:305–318.
  • Higashino K, Matsuura T, Suganuma K, Yukata K, Nish- isho T, Yasui N. Early changes in muscle atrophy and muscle fiber type conversion after spinal cord transection and peripheral nerve transection in rats. J Neuroeng Rehabil 2013;10:46.
  • Schmalbruch H, Lewis DM. Dynamics of nuclei of muscle fibers and connective tissue cells in normal and denervated rat muscles. Muscle Nerve 2000;23:617–626.
  • Selcen D. Muscle diseases. In: Goldman Cecil Medicine. 25th ed. L Goldman, AI Schafer (eds.). Philadelphia, PA: Elsevier Saunders, 2016; Chap. 421; 2537–2547.
  • Rochkind S, Nissan M, Barr-Nea L, Razon N, Schwartz M, Bartal A. Response of peripheral nerve to He-Ne laser: experimental studies. Lasers Surg Med 1987;7: 441–443.
  • Rochkind S, Barr-Nea L, Razon N, Bartal A, Schwartz
  • Stimulatory effect of He-Ne low dose laser on in- jured sciatic nerves in rats. Neurosurgery 1987;20:843– 884.
  • Shamir MH, Rochkind S, Sandbank J, Alon M. Double- blind randomized study evaluating regeneration of the rat transected sciatic nerve after suturing and postoperative low-power laser treatment. J Reconstr Microsurg 2001; 17:133–138.
  • Wang C-Z, Chen Y-J, Wang Y-H, et al. Low-level laser irradiation improves functional recovery and nerve regen- eration in sciatic nerve crush rat injury model. PLoS One 2014;9:e103348.
  • Rochkind S. Phototherapy in peripheral nerve regeneration: from basic science to clinical study. Neurosurg Focus 2009;26:E8.
  • Rochkind S, El-Ani D, Nevo Z, Shahar A. Increase of neuronal sprouting and migration using 780 nm laser pho- totherapy as procedure for cell therapy. Lasers Surg Med 2009;41:277–281.
  • Bongers KS, Fox DK, Ebert SM, et al. Skeletal muscle denervation causes skeletal muscle atrophy through a pathway that involves both Gadd45a and HDAC4. Am J Physiol Endocrinol Metab 2013;305:E907–E915.
  • Iyomasa DM, Garavelo I, Iyomasa MM, Watanabe IS, Issa JP. Ultrastructural analysis of the low level laser therapy effects on the lesioned anterior tibial muscle in the gerbil. Micron 2009;40:413–418.
  • Rochkind S, Geuna S, Shainberg A. Phototherapy and nerve injury: focus on muscle response. Inter Rew Neuro- biol 2013;109:99–109.
  • Rochkind S, Geuna S, Shainberg A. Chapter 25: Photo- therapy in peripheral nerve injury: effects on muscle pres- ervation and nerve regeneration. Int Rev Neurobiol 2009;87:445–464.
  • Rochkind S, Shainberg A. Protective effect of laser pho- totherapy on acetylcholine receptors and creatine kinase activity in denervated muscle. Photomed Laser Surg 2013;31:499–504.
  • Ihsan FR. Low-level laser therapy accelerates collateral circulation and enhances microcirculation. Photomed Laser Surg 2005;23:289–294.
  • Schwartz F, Brodie C, Appel E, Kazimirsky G, Shainberg
    1. Effect of helium/neon laser irradiation on nerve growth factor synthesis and secretion in skeletal muscle cultures. J Photochem Photobiol B 2002;66:195–200.
  • Shin DH, Lee E, Hyun JK, et al. Growth-associated protein-43 is elevated in the injured rat sciatic nerve after low power laser irradiation. Neurosci Lett 2003;344: 71–74.
  • Baptista J, Martins MD, Pavesi VC, et al. Influence of laser photobiomodulation on collagen IV during skeletal muscle tissue remodeling after injury in rats. Photomed Laser Surg 2011;29:11–17.
  • Fernandes KP, Alves AN, Nunes FD, et al. Effect of pho- tobiomodulation on expression of IL-1b in skeletal muscle following acute injury. Lasers Med Sci 2013;28:1043–1046.
  • Silveira PC, da Silva LA, Pinho CA, et al. Effects of low-level laser therapy (GaAs) in an animal model of muscular damage induced by trauma. Lasers Med Sci 2013;28:431–436.
  • Silveira PC, Silva LA, Fraga DB, Freitas TP, Streck EL, Pinho R. Evaluation of mitochondrial respiratory chain activity in muscle healing by low-level laser therapy. J Photochem Photobiol B 2009;95:89–92.
  • Wollman Y, Rochkind S. Muscle fiber formation in vitro is delayed by low power laser irradiation. J Photochem Pho- tobiol B 1993;17:287–290.
  • Amaral AC, Parizotto NA, Salvini TF. Dose-dependency of low-energy HeNe laser effect in regeneration of skeletal muscle in mice. Lasers Med Sci 2001;16:44–51.
  • Assis L, Yamashita F, Magri AMP, Fernandes KR, Ya- mauchi L, Renno ACM. Effect of low-level laser therapy (808 nm) on skeletal muscle after endurance exercise training in rats. Braz J Phys Ther 2015;19:457–465.
  • Bibikova A, Oron U. Regeneration in denervated toad (Bufo viridis) gastrocnemius muscle and the promotion of the process by low energy laser irradiation. Anat Rec 1995;241:123–128.
  • Lakyova´ L, Toporcer T, Tomevckova´ V, Sabo J, Radonˇak J. Low-level laser therapy for protection against skeletal muscle damage after ischemia-reperfusion injury in rat hindlimbs. Lasers Surg Med 2010;42:665–672.
  • Renno´ AC, Toma  RL,  Feitosa  SM,  et    Comparative effects of low-intensity pulsed ultrasound and low-level laser therapy on injured skeletal muscle. Photomed Laser Surg 2011;29:5–10.
  • Bolognani L, Volpi N. Low power laser enzymology: re- activation of myosin ATPase by GaAs and HeNe lasers. In: Basic and Applied Research in Photobiology and Photo- medicine. S Passarella, E Quadliariello (eds.). Bari, PA: Uni- versity of Bari, 1991; pp. 21–42.
  • Passarella S, Casamassima E, Molinari S, et al. Increase of proton electrochemical potential and ATP synthesis in rat liver mitochondria irradiated in vitro by helium-neon laser. FEBS Lett 1984;175:95–99.
  • Ferraresi C, Kaippert B, Avci P, et al. Low-level laser (light) therapy increases mitochondrial membrane potential and ATP synthesis in C2C12 myotubes with a peak re- sponse at 3–6 h. Photochem Photobiol 2015:91:411–416.
  • Belchior AC, dos Reis FA, Nicolau RA, Silva IS, Perreira DM, de Carvalho Pde T. Influence of laser (660 nm) on functional recovery of the sciatic nerve in rats following crushing lesion. Lasers Med Sci 2009;24:893–899.

 

Address correspondence to:
Shimon Rochkind Division of Peripheral Nerve Reconstruction
Department of Neurosurgery Tel Aviv Sourasky Medical Center
Tel Aviv University 6 Weizmann Street
Tel Aviv 64239
Israel E-mail: rochkind@zahav.net.il
Received: February 2, 2016.
Accepted after revision: August 11, 2016.
Published online: December 8, 2016.

The post Treatment in Peripheral Nerve Injury appeared first on pathologica.

]]>
Treatment of Experimental Actinic Keratoseshttps://www.patho-logica.com/a-hexokinase-2-modulator/ Mon, 17 Aug 2020 14:24:14 +0000 https://www.patho-logica.com/?p=1611A Hexokinase 2 Modulator for Field-Directed Treatment of Experimental Actinic Keratoses Vered Behar, Hadas Pahima, Adi Kozminsky-Atias, Nir Arbel, Emmanuel Loeb, Max Herzberg and Oren M. Becker Overexpression of hexokinase 2, and its binding to VDAC1 on the outer mitochondrial membrane of cancer cells, is key to their metabolic reprogramming to aerobic glycolysis, which enables them […]

The post Treatment of Experimental Actinic Keratoses appeared first on pathologica.

]]>
A Hexokinase 2 Modulator for Field-Directed Treatment of Experimental Actinic Keratoses

Vered Behar, Hadas Pahima, Adi Kozminsky-Atias, Nir Arbel, Emmanuel Loeb, Max Herzberg and Oren M. Becker

Overexpression of hexokinase 2, and its binding to VDAC1 on the outer mitochondrial membrane of cancer cells, is key to their metabolic reprogramming to aerobic glycolysis, which enables them to proliferate. We describe Comp-1, an allosteric small molecule that selectively detaches hexokinase 2 from the mitochondria. Detachment of hexokinase 2 reduces glycolysis and triggers apoptosis in cancer cells, without affecting hexokinase 1-expressing normal cells. The anti-cancer activity of Comp-1 was demonstrated in the UVB- damaged skin model in SKH-1 mice. Topical treatment with Comp-1 led to 70% reduction in lesion number and area. This in vivo efficacy was obtained without local skin reactions or other safety findings. Mechanism- related pharmacodynamic markers, including hexokinase 2 and cleaved caspase 3 levels, are affected by Comp-1 treatment in vivo. Good Laboratory Practice toxicology studies in minipigs for 28 days and 13 weeks established no systemic toxicities and minimal dermal reaction for once-daily application of up to 20% and 15% ointment strengths, respectively. Thus, Comp-1 may address a significant unmet medical need for a non-irritating efficacious topical actinic keratosis treatment.

Journal of Investigative Dermatology (2018) 138, 2635e2643; doi:10.1016/j.jid.2018.05.028

INTRODUCTION

Solar UV radiation is the primary cause of skin cancer. Sun- light, especially UVB (range 280e320 nm), acts as a tumor initiator and tumor promoter and is able to damage DNA directly (Madan et al., 2010). Non-melanoma skin cancer, including basal cell carcinoma and cutaneous squamous cell carcinoma (SCC), is the most common form of skin cancer. Actinic keratosis (AK) is on the continuum of transformation from normal skin to SCC and is often referred to as SCC in situ (Ro¨ wert-Huber et al., 2007). If untreated, a small fraction of AKs may progress to SCC involving deeper tissues, metasta- ses, and even death (Oppel and Korting, 2004).

One of the key characteristics of many types of cancer cells, including SCC cells, is their increased rate of glucose uptake and breakdown (glycolysis). Accordingly, to support their growth and proliferation, their metabolism is often reprogrammed from oxidative phosphorylation to aerobic glycolysis, a phenomenon known as the Warburg effect (Hay, 2016; Lunt and Vander Heiden, 2011). The first step in glycolysis is catalyzed by hexokinases (HKs) that phosphor- ylate glucose to glucose-6-phosphate. There are four HK isozymes, the most abundant being HK1 and HK2. HK1 is expressed in most normal adult tissue. In contrast, the expression of HK2 under normal conditions is very limited (Wilson, 2003). Moreover, under normal conditions, the subcellular distribution of HK1 and HK2 is different, with HK1 associated mainly with mitochondria and HK2 present primarily in the cytoplasm (John et al., 2011).

Unlike the absence or low expression of HK2 in the ma- jority of normal tissue, this enzyme is highly expressed in many cancer types, addressing the greater metabolic demand typical of proliferating cancer cells (Patra et al., 2013; Pedersen et al., 2002). High HK2 levels correlate with poor disease prognosis (Peng et al., 2008; Rho et al., 2007; Smith, 2000) and are required for oncogenic transformation despite possible continuous expression of HK1 (Patra et al., 2013).

Both HK1 and HK2 attach to the mitochondria by binding to VDAC1 on the cytosolic side of the outer mitochondrial membrane (Pastorino and Hoek, 2008). The VDAC1 channel allows passage of ions and metabolites, such as adenosine triphosphate (ATP), nicotinamide adenine dinucleotide, and Ca2þ, thus enabling the metabolic cross-talk between the mitochondria and the rest of the cell. VDAC1, too, is over- expressed in many cancer types and plays an important role in cancer progression (Shoshan-Barmatz et al., 2015; Shoshan-Barmatz and Mizrachi, 2012).

While the binding of HK1 to VDAC1 is strong and continuous, the binding of HK2 to VDAC1 is much weaker, and alternates between a cytoplasmic and a mitochondrial-bound states (John et al., 2011). This dynamic process is regulated by the metabolic and energetic requirements of the cells and provides them with significant advantages. First, VDAC1-bound HK2 protects cells from apoptosis, thus enabling their longevity (Gottlob et al., 2001; Majewski et al., 2004; Pastorino et al., 2002). Second, by binding to VDAC1, HK2 gains privileged access to ATP synthesized in the mitochondria, its preferred source for substrate utilization (Pastorino and Hoek, 2008; Wilson, 2003). Finally, this as- sociation results in reduced sensitivity to feedback inhibition by the glucose-6-phosphate product (John et al., 2011; Wilson, 2003). Taken together, the selective dissociation of HK2 from VDAC1 should trigger apoptosis in cancer cells, making it a promising anti-cancer strategy (Krasnov et al., 2013). HK2 has been proposed as a potential target for anti-cancer therapy and a few HK2 inhibitors were recently published (Krasnov et al., 2013; Li et al., 2017a, 2017b; Lin et al., 2016).

Here we present a selective small molecule modulator of HK2’s interaction with the mitochondria (Comp-1, Figure 1), which is a highly potent synthetic derivative of methyl jasmonate, a well-documented plant stress hor- mone with some  reported  anti-cancer  activity  (Goldin et al., 2008; Krasnov et al., 2013). Comp-1 does not affect the binding of the normal isoform, HK1, to the mitochondria, thus, representing a potentially well- tolerated anti-cancer drug for AK and cutaneous SCC, as well as for other tumor types.

RESULTS

Comp-1 selectively detaches HK2 from the mitochondria in vitro.
The activity of Comp-1 in a cell-free assay was evaluated using microscale thermophoresis (MST) analysis, which is based on altered movement of a protein in a temperature gradient when bound to other molecules. The HK enzymes were first allowed to bind with VDAC1 to form the VDAC1/ HK complexes. The addition of Comp-1 selectively dissoci- ates HK2 from VDAC1 in a dose-dependent manner with a half maximal inhibitory concentration (IC50) of 0.092 mM. In contrast, Comp-1 does not affect the VDAC1/HK1 complex (Figure 2a).

The cellular effect of Comp-1 was demonstrated in human skin SCC A431 cells (which express both HK1 and HK2). Cells were incubated for 2 hours with increasing concentra- tions of Comp-1, followed by mitochondrial isolation and Western blot (WB) analysis (Figure 2b). Semi-quantification of the WB reveals that there was a dose-dependent reduc- tion of mitochondrial-bound HK2 levels, with an IC50 of approximately 0.8 mM. (Figure 2c). This occurred without changes to total cellular HK2 levels (Supplementary Figure S2 online, Supplementary Material online), suggesting a direct effect on the binding of HK2 to the mitochondria; in contrast, HK1 association with the mitochondria is not affected by Comp-1 in a similar experimental setup (Supplementary Figure S3 online, Supplementary Material). Comp-1 reduces cellular ATP levels by as much as 50% after 2-hour incuba- tion in A431 cells, demonstrating the energetic outcome of HK2 dissociation from the mitochondria (Figure 2d).

Comp-1 treatment results in apoptosis induction. This was demonstrated in two ways: reduction of cytochrome C levels in the mitochondrial fraction within 2 hours of treatment, as evaluated by WB and semi-quantification (Figure 2e); and an increase in cellular levels of cleaved caspase-3 within 6 hours of treatment (Figure 2f). These two early events are in line with a caspase-dependent apoptotic mechanism (Kvansakul and Hinds, 2015).

Figure 1. Chemical structure of Comp-1.

The effect of Comp-1 on cellular viability was demon- strated in 2,3-bis-(2-methoxy-4-nitro-5-sulfophenyl)-2H- tetrazolium-5-carboxanilide assay in A431 SCC cells and the human AK line HT-297.T, resulting in IC50 values of 0.014 and 0.228 mM, respectively. Further, Comp-1 was evaluated in colony-forming assay in a panel of 57 patient-derived tu-
mors and cancer cell lines, where it exhibited a strong anti- clonogenicity effect (IC50 < 2 mM) in 70% of tested cancer types. Dose-response curves for a subset of these tumor models are shown in Figure 2g. HK2 protein levels in each of these 57 tumor models were determined by WB, semi- quantified, and normalized to a (0e1) scale. Figure 2h shows a statistically significant correlation (P ¼ 0.0002) be- tween cellular HK2 levels and Comp-1 IC50 values. The complete list of tumor models tested in colony-forming assay and 2,3-bis-(2-methoxy-4-nitro-5-sulfophenyl)-2H-tetrazo- lium-5-carboxanilide is shown in Supplementary Table S1 (online).

To note, Comp-1 does not affect the catalytic activity of either HK1 or HK2, nor does it affect the kinetic parameters, KM or Vmax, for either substrates, ATP or glucose (Supplementary Figure S4 online, Supplementary Material), further supporting the idea that Comp-1 is an allosteric modulator of the VDAC1/HK2 complex.
Efficacy in UVB-damaged skin model in SKH-1 hairless mouse.

The in vivo efficacy of Comp-1 was tested in a mouse model of chronic UVB exposure. Forty-eight SKH-1 hairless female mice were chronically exposed to UVB radiation for 16 weeks according to the scheme in Figure 3a. By that time, >60% of the animals had developed at least one lesion. Three days after the final irradiation dose, the mice were
randomly assigned to one of four treatment groups (n ¼ 12 mice/group) and a 50-day treatment phase started. Treatment groups included: vehicle, 2.5% or 5% Comp-1 ointment applied once-daily for 50 days, or 40% Comp-1 topical so- lution applied once-daily for the first 5 days of every 3-week cycle (total of three treatment cycles).
The three Comp-1 treatment groups, 2.5%, 5%, and 40%, showed significant efficacy, lowering the number of lesions relative to vehicle by 65%, 70%, and 72%, respectively (P <
0.0001) (Figure 3b). A similar reduction of a 66%e70% was also found in the total area of the lesions relative to vehicle (P < 0.0001) (Figure 3c).
The dose-dependent effect in the animals that received active drug is more pronounced at the time of onset of the effect, which was delayed by approximately 2 weeks in the 2.5% group (Figure 3d). Lesion numbers per individual mouse during the treatment period are presented in Supplementary Figure S5 (online).

Figure 2. In vitro activity of Comp-1

(a) Dissociation of VDAC1/HK complexes by Comp-1, microscale thermophoresis assay. Mean :::1 standard error of mean, n ¼ 3 independent studies. (b) Cellular detachment of HK2 from the mitochondria in A431 cells following 2-hour treatment, WB of the mitochondrial fraction. PPIA, marker for cytosol. TIM22, mitochondria loading control. (c) Semi- quantification of WB (b). (d) ATP levels following 2-hour treatment with Comp-1 in A431 cells. (e, f) Apoptosis induction in A431 cells. (e) Semi- quantification of cytochrome C in WB of the mitochondrial fraction following 2-hour treatment. (f) Cleaved caspase-3 following 6-hour treatment (ELISA). (g) Colony-forming assay of Comp-1 on patient-derived tumors and cell lines. (h) HK2 levels in 57 cell lines and patient-derived models analyzed by WB and correlated to their IC50 values. ATP, adenosine triphosphate; HK, hexokinase; IC50, half maximal inhibitory concentration; WB, Western blot.

Skin appearance and histopathologic analysis following. Comp-1 treatment.
There were no safety signals or adverse local skin reactions of any kind in any of the Comp-1 treatment groups from day 1 through day 50. Specifically, there were no erythema or edema, no abnormalities in body weight, and no adverse clinical signs in any of the groups, suggesting a promising safety profile for Comp-1. Representative photographs of the treated dorsal skins from each group at the end of the 50-day treatment period are shown in Figure 4a. Histopathologic analysis of the UVB-exposed skins dem- onstrates epidermal thickening (Figure 4b), and the expected
SCC morphology of elongated keratinocyte cords-like struc- tures towards the dermis (Figure 4c), in agreement with pre- vious descriptions of this model (Chaquour et al., 1995; Kligman and Kligman, 1981). Comp-1 treatment results in a thinner epidermis (Figure 4d), which was histologically similar to the skin of na¨ıve, noneUVB-exposed, control mice (Figure 4e).

Comp-1 reduces mitotic index and increases apoptosis in vivo.
The extent to which cells undergo active proliferation was evaluated using a semi-quantitative histopathologic analysis of the epidermis layers on day 50. The analysis demonstrates that Comp-1 significantly reduces the mitotic index in the treated skin (Figure 5a). Furthermore, immunohistochemistry (IHC) analysis of cleaved caspase-3, a marker for early apoptosis, shows a statistically significant induction of apoptosis in Comp-1etreated mice (Figure 5b) to levels similar to those seen in the epidermis of na¨ıve hairless mice.

Figure 3. Comp-1 efficacy on UVB- damaged skin in hairless SKH-1 mice.

(a) Study design schematics. n ¼ 12 per group. (b) Number of lesions per mouse per treatment area (6 cm2) over time (mean ב: standard error of mean [SEM]). (c) Total lesion area per mouse per treatment area (6 cm2) over time (mean ב: SEM). (d) Mean total lesion area presented as % of the mean vehicle-control treated group. P values compare the 40% treatment group to the vehicle-control. *P ::; 0.05, **P ::; 0.01, ***P ::; 0.001, ****P ::; 0.0001.

Effect on the pharmacodynamic markers HK1 and HK2
IHC analysis of tissue microarrays from human cutaneous SCC biopsies reveals that HK1 and HK2 levels in the epidermis differ between normal skin and cutaneous SCC. While high HK1 levels and low HK2 levels characterize normal epidermis, the reverse is seen for cutaneous SCC (Figure 6a), in line with published data of high HK2 levels in other cancer types (Patra et al., 2013).
IHC analysis was performed on skin tissues from the in vivo UVB-exposed mice, assessing HK protein levels as potential mechanism-based pharmacodynamic markers. In line with the human data, the epidermis of na¨ıve control mice stained strongly positive for HK1 and negative for HK2 (Figure 6b). In contrast, the epidermis of UVB-exposed mice exhibited the opposite pattern (Figure 6c, vehicle group), that is, strong HK2 and weak HK1 staining, similar to human cutaneous SCC. Fifty-day treatment with 5% Comp-1 re-established a profile that resembles normal skin, in which HK2 staining levels are low (Figure 6c, Comp-1 group).
To assess whether the treatment-induced pharmacody- namic marker switch from HK2 to HK1 occurs early, a small, not statistically powered, satellite study was conducted with similar 16-week UVB-exposed mice. These were treated for only 1 or 2 days with 5% Comp-1 or vehicle. Figure 6d shows that compared to the vehicle-treated mice, which exhibit high HK2 and low HK1 levels due to the UVB irradiation, treatment with Comp-1 for as little as 2 days led to a dramatic decrease in HK2 protein levels in the treated skin, similar to the low HK2 levels present on day 50 of the main study. Treatment for 1 day did not yield this effect (data not shown).

In vivo safety
In addition to Comp-1’s selectivity to HK2 versus HK1 discussed, Comp-1 demonstrates only weak interaction (IC50 > 1 mM) with 98% of the proteins in a panel of 63 off-targets (Supplementary Table S2 online, Supplementary Material). This lack of cross- reactivity is expected to contribute to a favorable safety profile invivo. Comp-1 formulated as a topical ointment completed two repeat-dose Good Laboratory Practice toxicology studies in minipigs, where the drug was applied once-daily to 10% of their body surface area for 28 days at strengths up to 20% w/w and for 13 weeks at strengths up to 15% w/w. No treatment-related systemic changes were detected in either study, and the No Observed Adverse Effect Level for systemic toxicity in both studies was the highest dose tested. In both studies the only notable findings were limited erythema with a mean severity score of “very slight” to “slight/well-defined” that was of similar magnitude and severity in all treatment groups, including the vehicle-treated group. In general, this limited skin reaction appeared within the first 2 weeks of the studies, increased up to week 4 and remained stable or showed a tendency to a slight improvement thereafter. On occasion crust/scabs accompanied the erythema. These findings appeared to be reversible with cessation of the treatment. A maximum tolerated dose for the local application of VDA-1102 was not reached, even at the highest dose tested (20% or 15%, respectively).

DISCUSSION
We present here a targeted approach to treat cancer with an allosteric modulator that selectively detaches HK2 from the mitochondria, without affecting HK1 association, resulting in glycolysis reduction and induction of apoptosis in the ma- lignant cells. Comp-1’s anti-proliferative effect in vitro is correlated with HK2 protein levels in the cells. Specifically, Comp-1 exhibits broad anti-cancer activity in vitro as well as in vivo efficacy in the UVB-damaged skin mouse model. The in vivo efficacy of Comp-1 (70% reduction in lesion count) is similar to the reported efficacy of ingenol mebutate in a similar mouse model (Cozzi et al., 2012). Pharmacodynamic analysis of HK isoform levels in the skin of treated mice confirms Comp-1’s selective mode of action: reducing the high HK2 levels characteristic of the disease state to low HK2 levels similar to those in normal skin. This effect was demonstrated as early as 2 days after initiation of treatment. Unlike most other approved AK drugs that cause significant skin irritation, the efficacy of Comp-1 is delivered without irritation. Good Laboratory Practice toxicology studies in minipigs with a topical ointment formulation of Comp-1 administered once daily for 28 days and 13 weeks estab- lished no systemic toxicities and minimal dermal reaction for
doses of up to 20% and 15%, respectively.

Tolerability for topical AK treatments is a major consid- eration in the management of this disease. Due to field cancerization that is brought about by prolonged exposure to the sun, AK patients require repeat treatments during their lifetime, often over large areas of skin. Lesion-directed treatments, such as cryosurgery and laser-based therapies, are not suitable for treatment of multiple lesions over large areas. Current efficacious field-directed treatments (including 5-fluorouracil, imiquimod, ingenol mebutate, and photodynamic treatment) are frequently associated with severe local skin reactions, which range from mod- erate inflammation to necrosis. These reactions are painful and unsightly, leading to reduced treatment compliance. Comp-1, which demonstrates efficacy, safety, and dermal tolerability in vivo, may address a significant unmet med- ical need for subjects with AK. Comp-1 is in clinical developed as a topical treatment for AK, currently in a phase 2b trial. It is also being developed as a systemic treatment for other malignant diseases.

Figure 4. Skin appearance and histopathologic analysis

following Comp-1 treatment. (a) Representative photographs of UVB-damaged mouse skin from all treatment groups on day 50 (three mice per group). The treatment area was marked on the back of the mice by a black eight-point rectangle tattoo. (bee) Representative photographs of hematoxylin and eosin staining of treated dorsal skin sections taken on day 50 showing (b) epidermal thickening and (c) squamous cell carcinoma morphology in UVB-exposed, vehicle-treated mouse; compare to thin epidermis in (d) 5% treated mouse; and (e) na¨ıve mouse. Scale bar ¼ 20 mm.

Figure 5. Comp-1 reduces cell proliferation and  induces   apoptosis in vivo (day 50 data)

Mitotic index quantification of the epidermis, vehicle group (n ¼ 12) versus all Comp-1 treatment groups (n ¼ 36). Quantification included the number of mitotic cells per x40 high-power field, 7 different fields per slide, as evaluated from hematoxylin and eosinestained slides. A sample image is shown. (b) Semi-quantification of cleaved caspase-3epositive cells, performed similarly as in (a). n ¼ number of mice. ***P ::; 0.001. A sample image is shown. Scale bar ¼ 20 mm.

MATERIALS AND METHODS

A431 (human skin SCC) and HT-297.T (human AK) cell lines were purchased from ATCC (Manassas, VA) and were maintained in DMEM supplemented with 10% fetal calf serum, 4 mM L-Gln, 1 mM sodium pyruvate, 100 U/mL penicillin, and 1 mg/mL streptomycin. Human HK1 and HK2 plasmids were purchased from Addgene (Cambridge, MA) and were purified from Escherichia coli. VDAC1 was purified from sheep liver mitochondria  as described (Arbel et al., 2012). Human skin tissue microarray (SK208 and SK 805) were purchased from US Biomax Inc (Rockville, MD), which attests that all human materials was obtained under institutional approval of experiments and with written informed patient consent.

Microscale thermophoresis assay

Studies were conducted on Nanotemper Monolith NT.115 (Munich, Germany). HK1 and HK2 were labeled using Monolith NT.115 Protein Labeling Kit BLUE-NHS. As a preliminary study to form the VDAC1-HK complexes, various concentrations of VDAC1 were added to 67 nM HK1 or 71 nM HK2 (for HK-VDAC1 direct binding curves see Supplementary Figure S1 online, Supplementary Material). The preferred VDAC1 concentration was determined to be 1.5 mm. For dissociation studies, HKs were pre-incubated with VDAC1 for 10 minutes and increasing concentrations of Comp-1 were added for an additional 10 minutes. Microscale thermopho- resis default parameters were used and analysis was with Nano- temper analysis software. All studies were done at room temperature in assay buffer of 20 mM Tris, 10 mM glucose, 10 mM MgCl2, and 1% DMSO pH 7.5.

WB

A431 cells were treated for 2 hours at 37oC with various concen- trations of Comp-1 in medium without fetal calf serum and 2 mM L- Gln. Mitochondria were isolated using Mitochondria Isolation Kit (Thermo Fisher Scientific, Rockford, IL) followed by WB.

Semi-quantification of the WB was done with Imagequant TL soft- ware, version 8.1 (GE Healthcare Life Sciences, Little Chalfont, UK). TIM22 was used as a loading control for mitochondria. Cyclophilin A (PPIA) was used as a cytosolic marker.

The following antibodies were used: anti-rabbit HK1 (C-2024S) and HK2 (C-2876S) from CST (Danvers, MA), anti-rabbit PPIA (ab41684; Abcam, Cambridge, MA), anti-rabbit TIM22 (14927-1-AP, Proteintech Group Inc., Rosemont, IL), and anti-rabbit cytochrome C (PA1118, Boster Biological Technology, Pleasanton, CA). Detection was performed using secondary antibodies: peroxidase-conjugated Affinipure goat anti-rabbit IgG (HþL) or goat anti-mouse IgG  (HþL) (111-035-003 and 115-035-003; Jackson ImmunoResearch, West Grove, PA), and development was performed using the ECL kit WesternBright ECL (K-12045-D10; Advansta, Menlo Park, CA).

ATP Determination

Cellular ATP levels were determined using CellTiter-Glo Lumines- cent Cell Viability Assay kit (Promega, Madison, WI) following 2 hours of treatment of A431 cells at 37oC.

Apoptosis

Apoptosis induction was determined by semi-quantification of cyto- chrome C levels in the mitochondrial fraction analyzed by WB, following 2 hours of treatment with Comp-1 in A431 cells. Cleaved caspase-3 levels were analyzed following 6 hours of Comp-1 treatment in A431 cells, using PathScan Cleaved Caspase-3 Sandwich ELISA kit (CST).

Cell viability assays

For 2,3-bis-(2-methoxy-4-nitro-5-sulfophenyl)-2H-tetrazolium-5- carboxanilide assays, cells were plated in 96-well plates (5,000 cells per well) for 24 hours. Cells were then incubated with different concentrations of Comp-1 in triplicate for 72 hours in DMEM sup- plemented with 0.5% fetal calf serum and 5 mM glucose. Cell viability was evaluated using 2,3-bis-(2-methoxy-4-nitro-5- sulfophenyl)-2H-tetrazolium-5-carboxanilideebased colorimetric.

Figure 6. IHC of HK1 and HK2 as pharmacodynamic markers for the action of Comp-1

in skin epidermis. (a). Quantification of HK1 and HK2 staining intensity (arbitrary scale 0e4) in healthy versus cutaneous SCC from human skin microarray samples. n ¼ number of samples. ***P ::; 0.001. Sample images are shown, scale bar ¼ 20 mm. (bed) HK1 or HK2 staining in slides from the UVB-exposed mouse model treated with Comp-1. (b) Skin from na¨ıve mice
(c) UVB-exposed skin samples following 50 days of treatment with 5% Comp-1 or vehicle. (d) Skin following 2 days of treatment showing a pattern similar to that seen in (c). Scale bar ¼ 20 mm. HK, hexokinase; IHC, immunohistochemistry; SCC, squamous cell carcinoma.

assay kit (Biological Industries Ltd., Kibbutz Beit-Haemek, Israel). The optical density was measured by an Infinite 200 ELISA reader at 450 nm and reference was measured at 630 nm (Tecan, Ma¨nnedorf, Switzerland). Colony-forming assay was performed by Charles River Labora- tories (Freiburg, Germany) in 96-well plate format according to a modified two-layer soft agar assay. The origin of the tumor xenografts has been described (Fiebig et al., 1989). The list of tumors used in this study is detailed in Supplementary Table S1.

UVB-damaged skin model in SKH-1 mice
All animal experiments were performed according to guidelines of the
National Institutes of Health and the Association for Assessment and Accreditation of Laboratory Animal Care, following The Israel Board for Animal Experiments approval no. IL-13-08-145. Female SKH-1 mice were obtained from Charles River Laboratories (Wilmington, NC). Mice were treated and managed at Pharmaseed Ltd (Ness Ziona, Israel). The UVB-induced skin damage model was adopted from previous publi- cations (Cozzi et al., 2012; Dinkova-Kostova et al., 2008; Phillips et al., 2013; Rebel et al., 2001) according to the scheme in Figure 3a. Mice were exposed to 1.25 times the minimal erythemal dose of UVB at each exposure. For details see the Supplementary Material.

Topical formulation
The formulation ingredients for vehicle, 2.5%, and 5% Comp-1 ointment for the mouse studies consisted of: 32% Gelucire44/14 (Gattefosse´, Saint-Priest, France) and 68% combined Labrasol (Gattefosse´, Saint-Priest, France) with corresponding amount of Comp-1 (w/w). New ointments were prepared every 2 weeks. The 40% topical solution was prepared just prior to use by mixing (w/w) 60% propylene glycol (Sigma, St Louis, MO) with 40% Comp-1.

IHC, histology, and semi-quantitative analysis of IHC slides Histopathologic analysis and IHC was performed according to standard protocols. The following primary antibodies were used: rabbit anti-HK1 and rabbit anti-HK2 (C35C4 and C64G5; CST) and rabbit anti-cleaved caspase 3 (PP229; Biocare Medical, Concord, CA). The secondary antibody was goat anti-rabbit IgG(HþL) (474- 1506; KPL, Gaithersburg, MD). Semi-quantitative analysis was done in a blinded manner by a single experienced pathologist scoring x40 high-power fields, seven different fields per slide.

In vitro selectivity panel
All experiments were performed by NovaScreen Biosciences Cor- poration, a PerkinElmer company (Hopkinton, MA). Radioligand binding assays measured the ability of Comp-1 to inhibit binding of radiolabeled ligands to their respective receptors and were per- formed for all receptors (including the classes of G-proteinecoupled receptors, ion channels, and transporters). The cyclooxygenase, tyrosine kinase, and phosphodiesterase enzyme assays were per- formed using LabChip technology and run on the EZ Reader II platform. All data presented in Supplementary Table S2 are the mean of duplicate measurements.

Statistical analysis
Statistical analysis was carried out using GraphPad Prism, version
5.03 (Graphpad Software, San Diego, CA).

ORCID
Vered Behar: https://orcid.org/0000-0002-0711-7856

CONFLICT OF INTEREST
All authors, except EL and MH, are employees at Vidac Pharma, Ltd, Israel. EL is an employee at Patho-Logica Ltd, Israel and was not a paid consultant. MH is a stock holder at Vidac Pharma and the inventor of Comp-1.

ACKNOWLEDGMENTS
We wish to thank Varda Shoshan-Barmatz for her continued technical help and advice through the early stages of this work.

SUPPLEMENTARY MATERIAL

Supplementary material is linked to the online version of the paper at www. jidonline.org, and at https://doi.org/10.1016/j.jid.2018.05.028

 

REFERENCES

Arbel N, Ben-Hail D, Shoshan-Barmatz V. Mediation of the antiapoptotic activity of Bcl-xL protein upon interaction with VDAC1 protein. J Biol Chem 2012;287:23152e61.

Chaquour B, Seite´  S, Coutant K, Fourtanier A,  Borel JP, Bellon G. Chronic UVB- and all-trans retinoic-acid-induced qualitative and quantitative changes in hairless mouse skin. J Photochem Photobiol B 1995;28: 125e35.

Cozzi S-J, Ogbourne SM, James C, Rebel HG, de Gruijl FR, Ferguson B, et al. Ingenol mebutate field-directed treatment of UVB-damaged skin reduces lesion formation and removes mutant p53 patches. J Invest Dermatol 2012;132:1263e71.

Dinkova-Kostova AT, Jenkins SN, Wehage SL, Huso DL, Benedict AL, Stephenson KK, et al. A dicyanotriterpenoid induces cytoprotective en- zymes and reduces multiplicity of skin tumors in UV-irradiated mice. Biochem Biophys Res Commun 2008;367:859e65.

Fiebig HH, Winterhalter B, Berger DP, Lo¨ hr GW. Combined in vitro/in vivo test procedure with human tumor xenografts for anticancer drug develop- ment. Strahlenther Onkol Organ Dtsch Rontgengesellschaft Al 1989;165: 522e4.

Goldin N, Arzoine L, Heyfets A, Israelson A, Zaslavsky Z, Bravman T, et al. Methyl jasmonate binds to and detaches mitochondria-bound hexokinase. Oncogene 2008;27:4636e43.

Gottlob K, Majewski N, Kennedy S, Kandel E, Robey RB, Hay N. Inhibition of early apoptotic events by Akt/PKB is dependent on the first committed step of glycolysis and mitochondrial hexokinase. Genes Dev 2001;15: 1406e18.

Hay N. Reprogramming glucose metabolism in cancer: can it be exploited for cancer therapy? Nat Rev Cancer 2016;16:635e49.

John S, Weiss JN, Ribalet B. Subcellular localization of hexokinases I and II directs the metabolic fate of glucose. PLoS One 2011;6:e17674.

Kligman LH, Kligman AM. Histogenesis and progression in ultraviolet light- induced tumors in hairless mice. J Natl Cancer Inst 1981;67:1289e93.

Krasnov GS, Dmitriev AA, Lakunina VA, Kirpiy AA, Kudryavtseva AV. Tar- geting VDAC-bound hexokinase II: a promising approach for concomitant anti-cancer therapy. Expert Opin Ther Targets 2013;17:1221e33.

Kvansakul M, Hinds MG. The Bcl-2 family: structures, interactions and targets for drug discovery. Apoptosis 2015;20:136e50.

Li W, Gao F, Ma X, Wang R, Dong X, Wang W. Deguelin inhibits non-small cell lung cancer via down-regulating Hexokinases II-mediated glycolysis. Oncotarget 2017a;8:32586e99.

Li W, Zheng M, Wu S, Gao S, Yang M, Li Z, et al. Benserazide, a dop- adecarboxylase inhibitor, suppresses tumor growth by targeting hexokinase

  1. J Exp Clin Cancer Res 2017b;36:58.

Lin H, Zeng J, Xie R, Schulz MJ, Tedesco R, Qu J, et al. Discovery of a novel 2, 6-disubstituted glucosamine series of potent and selective hexokinase 2 inhibitors. ACS Med Chem Lett 2016;7:217e22.

Lunt SY, Vander Heiden MG. Aerobic glycolysis: meeting the metabolic re- quirements of cell proliferation. Annu Rev Cell Dev Biol 2011;27:441e64.

Madan V, Lear JT, Szeimies R-M. Non-melanoma skin cancer. Lancet 2010;375:673e85.

Majewski N, Nogueira V, Bhaskar P, Coy PE, Skeen JE, Gottlob K, et al. Hexokinase-mitochondria interaction mediated by Akt is required to inhibit apoptosis in the presence or absence of Bax and Bak. Mol Cell 2004;16: 819e30.

Oppel T, Korting HC. Actinic keratosis: the key event in the evolution from photoaged skin to squamous cell carcinoma. Therapy based on pathoge- netic and clinical aspects. Skin Pharmacol Physiol 2004;17:67e76.

Pastorino JG, Hoek JB. Regulation of hexokinase binding to VDAC. J Bioenerg Biomembr 2008;40:171e82.

Pastorino JG, Shulga N, Hoek JB. Mitochondrial binding of hexokinase II inhibits Bax-induced cytochrome c release and apoptosis. J Biol Chem 2002;277:7610e8.

Patra KC, Wang Q, Bhaskar PT, Miller L, Wang Z, Wheaton W, et al. Hexo- kinase 2 is required for tumor initiation and maintenance and its systemic deletion is therapeutic in mouse models of cancer. Cancer Cell 2013;24: 213e28.

Pedersen PL, Mathupala S, Rempel A, Geschwind JF, Ko YH. Mitochondrial bound type II hexokinase: a key player in the growth and survival of many cancers and an ideal prospect for therapeutic intervention. Biochim Bio- phys Acta 2002;1555:14e20.

Peng S-Y, Lai P-L, Pan H-W, Hsiao L-P, Hsu H-C. Aberrant expression of the glycolytic enzymes aldolase B and type II hexokinase in hepatocellular carcinoma are predictive markers for advanced stage, early recurrence and poor prognosis. Oncol Rep 2008;19:1045e53.

Phillips J, Moore-Medlin T, Sonavane K, Ekshyyan O, McLarty J, Nathan C- AO. Curcumin inhibits UV radiation-induced skin cancer in SKH-1 mice. Otolaryngol Head Neck Surg 2013;148:797e803.

Rebel H, Mosnier LO, Berg RJ, Westerman-de Vries A, van Steeg H, van Kranen HJ, et al. Early p53-positive foci as indicators of tumor risk in ultraviolet-exposed hairless mice: kinetics of induction, effects of DNA repair deficiency, and p53 heterozygosity. Cancer Res 2001;61: 977e83.

Rho M, Kim J, Jee CD, Lee YM, Lee HE, Kim MA, et al. Expression of type 2 hexokinase and mitochondria-related genes in gastric carcinoma tissues and cell lines. Anticancer Res 2007;27:251e8.

Ro¨ wert-Huber J, Patel MJ, Forschner T, Ulrich C, Eberle J, Kerl H, et al. Actinic keratosis is an early in situ squamous cell carcinoma: a proposal for reclassification. Br J Dermatol 2007;156(Suppl. 3):8e12.

Shoshan-Barmatz V, Ben-Hail D, Admoni L, Krelin Y, Tripathi SS. The mito- chondrial voltage-dependent anion channel 1 in tumor cells. Biochim Biophys Acta 2015;1848:2547e75.

Shoshan-Barmatz V, Mizrachi D. VDAC1: from structure to cancer therapy. Front Oncol 2012;2:164.

Smith TA. Mammalian hexokinases and their abnormal expression in cancer. Br J Biomed Sci 2000;57:170e8.

Wilson JE. Isozymes of mammalian hexokinase: structure, subcellular local- ization and metabolic function. J Exp Biol 2003;206:2049e57.

This work is licensed under a Creative Commons Attribution-NonCommercial-NoDerivatives 4.0 International License. To view a copy of this license, visit

https://creativecommons.org/licenses/by-nc-nd/4.0/

The post Treatment of Experimental Actinic Keratoses appeared first on pathologica.

]]>
The pros and cons of animal experimentshttps://www.patho-logica.com/dr-loeb-list-of-publications/ Wed, 12 Aug 2020 09:09:57 +0000 https://www.patho-logica.com/?p=1499The pros and cons of animal experiments; an essay on ethical issues Author: Emmanuel Loeb As an experimental pathologist, I deal on a daily basis with tissue samples that were harvested during a controlled animal experiment, performed as part of the development process of new drugs and devices. In my opinion, a proper ethical approach […]

The post The pros and cons of animal experiments appeared first on pathologica.

]]>
The pros and cons of animal experiments; an essay on ethical issues

Author: Emmanuel Loeb

As an experimental pathologist, I deal on a daily basis with tissue samples that were harvested during a controlled animal experiment, performed as part of the development process of new drugs and devices. In my opinion, a proper ethical approach and an open discussion regarding laboratory animal experiments that are performed/carried out for human benefit, is essential for the moral basis of our professional legitimation in the field of life science research. Therefore, I have chosen to confront myself with this difficult topic.

The animal trial as an ethical problem:

The ethical aspect of animal trials is an ancient debate which has already been discussed in a broad perspective during the ancient Greek period. It arises from the natural position of mankind towards the animal as we are obliged to take responsibility for human manipulations with animals.

The intention of   an experimental animal model usage, conducted by experts, is in principle problematic in terms of its ethical context. Actually, the manipulations in order to mimic a certain pathological condition or human disease are performed on a complete healthy animal. However, the experimental animal model is established in order to answer major issues regarding the safety and efficacy of the tested medicinal products before their use in humans. Compared to a slaughtered cow, this process is more complex creating serious health problems, which might be accompanied with pain and suffering for the animal.

The rate of experimental animal models stands on 0.04% out of the amount of animals that are annually being killed by humans. Nevertheless, this relatively small amount does not provide a good argument for its aim. Comparing the situation of an individual animal that is slaughtered for human food consumption to a rodent that is sacrificed for medical research, there is a marked difference. The case of the rodent is much worse regarding the severity of pain and suffering compared to a slaughtered cow.

This is why the field of utilizing animals for experimental models is a very problematic ethical conflict of the human nature – taking into account the health and wellbeing of humanity against pain and suffering of the animal.

 

The scientific community is faced against the above described conflict and is looking for ways to overcome it without harming the humanity.  There is an increase focus in developing artificial trial systems (in vitro) that will be able to replace the animal model. In some cases it can be achieved and helps to reduce the number of animal experiments. In other cases, in vitro systems are not efficient as an alternative for the whole animal usage, due to the complexity and the Involvement of complete body systems. This includes experiments that are aimed to explore tissue structure or nutrients, animal metabolism, systemic pathological conditions, and other factors that are difficult to be achieved and measured in an artificial system. That is to say that in many situations the animal model is a must and cannot be replaced, for example in toxicological studies (maximum tolerate dose) prior to the administration of the developed drug to humans (clinical trials).

 

The relevance of animal experiment for drug development:

In order to evaluate the purpose of animal experiments in general we need to look at the whole picture and to summarize the pros and cons arguments regarding the usage of animals for experiments. Considering all these arguments, it is obvious that there is a need to establish a system that will allow the performance of only necessary and un-replicable experimental animal models under controlled conditions, that will be sufficient to cover the medical necessities.

The solution:

In order to fulfill the necessity of controlled experimental animal studies, various regulatory guidelines and laws have been developed all over the world.

An experimental animal model has to be confirmed and approved by an “ethical committee” which is functioning in all the countries that are performing animal studies. The committee is composed of a heterogenic team of professionals and non-professional. The committee review on the suggested study is taking into consideration the importance of the tested product and its contribution to human health, the necessity of the suggested animal model and its replaceable alternatives, as well as the animals wellbeing. The approval of the study can be achieved only after the researcher has answered the committee’s requirements, including: reducing the animal number, adding treatment for pain relief and to alleviate the suffering. The committee has the authority to change studies protocols or even to reject certain studies.

In Israel the law does not permit animal experiments but the committee has a mandate to approve it. There is a continue debate around the issue of animal experiments between the researchers and certain groups and individuals. A compromise is only possible through a dialog, knowledge and education.

For those that are interested in this topic I recommend the book titled “Animal alternatives, Welfare and Ethics” by Professor L.F.M van Zutphen, my teacher during my studies in Utrecht University.

The post The pros and cons of animal experiments appeared first on pathologica.

]]>
The Usage of Animal Modelshttps://www.patho-logica.com/the-usage-of-animal-models/ Mon, 27 Jul 2020 14:18:24 +0000 https://www.patho-logica.com/?p=562The Usage of Animal Models for Pre-Clinical Trials: a pathological, comparative approach Author: Emmanuel Loeb. The utilazation of animal models offers the scientist a great opportunity to examine his developed product (drug or medical device) on a whole body system prior to the human trials. The animal model intends to mimic in a group of […]

The post The Usage of Animal Models appeared first on pathologica.

]]>
The Usage of Animal Models for Pre-Clinical Trials: a pathological, comparative approach

Author: Emmanuel Loeb.

The utilazation of animal models offers the scientist a great opportunity to examine his developed product (drug or medical device) on a whole body system prior to the human trials. The animal model intends to mimic in a group of animals a human similar pathological condition . Leaving the ethical discussion to another essay, we can ask ourselves what is the real relevance in performing experiments on animal models as a mile stone in the process of introducing the humanity with new health technologies.  As an experimental pathologist I deal on a daily basis with samples that need to be evaluated after being harvested from animal models studies. Comparative pathology is one of the branches in our discipline, providing the pathologist morphologic tools to study pathological lesions derived from animal model and extrapolate the obtained information to human diseases.  In this essay I will discuss some aspects of the pathological approach and action patterns of the field of experimental pathology.

Safety studies:

Toxicological pathology is an established branch within the field of experimental pathology. Drugs and medical devices are regularly tested on animals in order to avoid and to exclude a possible toxic/side effect and to study the toleration for different doses of the tested items. As part of this examination, cellular, morphological entities named cytotoxic changes are being evaluated. It is important to note that this part of the histological evaluation is performed under very strict rules. For example, the U.S. Food and Drug Administration has recommended of a list of a standard tissue for histopathologic examination in repeat-dose toxicity and carcinogenicity studies by lab animals (1).

Efficacy studies:

Compared to safety studies, efficacy studies have a greater space for methodologies and experimental design variation. These studies are aimed to provide a prove of concept by using histological parameters. Those parameters or end points are carefully selected from the repertoire of pathological changes of the proposed animal model. For example, osteoarthritis models in the rat induces a complex joint damage, from which the following histological parameters could be evaluated: Cartilage matrix loss width, Cartilage degeneration score, Total cartilage degeneration width,  Significant cartilage degeneration width, Zonal depth ratio of lesions, Osteophytes, Calcified cartilage and subchondral bone damage score, Synovial reaction, Medial joint capsule repair, and Growth plate thickness (2). The relevant histological parameters to be screened can be selected according to the suggested mechanism of action of the tested product. A very important element in the efficacy studies is the histological quantification methodology. Traditionally pathologists used and are still using the semi-quantitative evaluation, in which a grading scale with a range of variations is defined in advance within a certain grade. This method is limited because it depends on the capabilities and experience of the pathologist, and has a subjective aspect that might create differences between interpretations of various  pathologists. An alternative approach is the usage of morphometry, digital evaluation from high resolution histological pictures. This method provides an accurate number for cells, areas and the intensity of a positive immunohistochemistry marker.

 

Transgenic models:

The main reason for producing transgenic animals for biomedical research has been to modify organisms to be used in of oncology, immunology, or teratology studies, and to improve the understanding of the role of specific genes in the development proccess. The transgenic animals are used either for basic biological mechanisms research or to provide models of human disease. If an animal is to be used as a model for a certain disease, then it’s induction should create similar pathological changes, as well as symptoms, as is presented in the investigated human disease. This approach will enable to follow up the curable (by improving or preventing the pathological changes) or  palliative features ( by ameliorating or preventing the symptoms of the disease)  of the tested product . The scientific method usually involves a study of a single variable, with other confounding variables eliminated or controlled (3).

To summarize, the animal model is a useful tool for researchers to evaluate new developed drugs and medical devices and to study unknown disease mechanisms. Next to other methods for the safety and efficacy evaluation, the pathological approach can be supportive for the study and in many cases it also can become more dominant compared to the other methods.

References:

  1. CARLA L. BREGMAN, RICK R. ADLER, DANIEL G. MORTON, KAREN S. REGAN, AND BARRY L. YANO. TOXICOLOGIC PATHOLOGY, vol 31, no 2, pp 252–253, 2003
  2. N. Gerwin, A.M. Bendele, S. Glasson, C.S. Carlson. The OARSI histopathology initiative e recommendations for histological assessments of osteoarthritis in the rat. Osteoarthritis and Cartilage 18 (2010) S24eS34.
  3. Inspired by the book titled “Animal alternatives, Welfare and Ethics” by Professor L.F.M van Zutphen, my teacher during my studies in Utrecht University.

The post The Usage of Animal Models appeared first on pathologica.

]]>
Technocratic Scientific Empirehttps://www.patho-logica.com/technocratic-scientific-empire/ Mon, 27 Jul 2020 14:17:54 +0000 https://www.patho-logica.com/?p=559Technocratic Scientific Empire – the good, the bad, and the man that could not dream Author: Emmanuel Loeb We all live in a technocratic capitalistic world that demands innovation and advanced developments to improve health and quality of life, as well as to increase income and prosperity. If we compare the scientific work and articles […]

The post Technocratic Scientific Empire appeared first on pathologica.

]]>
Technocratic Scientific Empire – the good, the bad, and the man that could not dream

Author: Emmanuel Loeb

We all live in a technocratic capitalistic world that demands innovation and advanced developments to improve health and quality of life, as well as to increase income and prosperity. If we compare the scientific work and articles that were been published in the first half of the 20th century to the ones that are being published at present, major changes in the profundity and quality of the text are evident. In the old days a scientist came up with a thesis based on some hypotheses, and used clear milestones in the road to prove his estimations. A nice example is the remarkable work of Sigmund Freud. The process that was adopted by him in order to accomplish the desirable result which was based on a hypothesis and required creativity and a profound widespread thinking pattern, that was far beyond the technical possibilities and limitations. This is evidenced by the fact that his conclusions are still very relevant today, such as the finding of the subconscious.

The Second World War was the turning point event that changed the scientific world and humanity way of thinking the intellectual human chain completely. This war did not only take 20 million lives, but was also a destruction of millions of books, data and life work of thousand of brilliant scientists that had to leave Europe under the Nazi occupation (Freud was one of them). The world recovery and reconstruction after the war was based on technological improvements and the power of the industrial revolution that was initiated before the war. This essay is not aimed to criticize the current science or our life style but only to discuss the pros and cons of the technocratic system we live accordingly.

In order to continue this discussion we should first define the term technocracy. Therefore, I use the below text that was written by American officials in 1943.

“Technocracy: The term technocracy was originally used to advocate the application of the scientific method to solving social problems. According to the proponents of this concept, the role of money, economic values, and moralistic control mechanisms would be eliminated altogether if and when this form of social control should ever be implemented in a continental area endowed with enough natural resources, technically trained personnel, and installed industrial equipment. In such an arrangement, concern would be given to sustainability within the resource base, instead of monetary profitability, so as to ensure continued operation of all social-industrial functions into the indefinite future. Technical and leadership skills would be selected on the basis of specialized knowledge and performance, rather than democratic election by those without such knowledge or skill deemed necessary.(1)”

The good:

Technocracy in a capitalistic world provides a better life due to technological achievements that one could not even think about few decades ago. The domination of the technological improvements has become the key for prosperity and wellbeing. Making good, beneficial products, contributing to life quality, has always been an important drive of human kind. Ever since the Scientific Revolution and the Enlightenment, there has been a widespread and sometimes utopian belief that progress in science and technology would inaugurate a new period in the world’s history, in which the scarcity problem will be solved, and richness and wellbeing will be available for everybody. Researchers, engineers and designers believed that their scientific and technical expertise could lead society to a better future. However, since the revelation of Postmodernism, utopian beliefs and strivings have lost much of their attraction, and even have come suspicious (2).

The bad:

The postmodern breakdown of the totalizing world Image was a reaction to a growing awareness that modern, industrialized societies were full of rigid disciplines and social repression. The emergence of enormous environmental problems caused further disappointment from the belief in the wonders of the technical progress. On one hand, the end of the utopian thinking is to be welcomed as it means an end to the paternalism and social repression. However, the clear downside of the disengagement from the utopia is that there is no longer a shared spirit that guides and nourishes social engagement (2). Indeed, the “technological renaissance” carries with it many ethical and social problems. Taking into account that 16% of the world population still cannot read and write (1998 UN definition), we should ask ourselves what is the fraction of global population that can enjoy the prosperity of the advanced technology. Technocracy can cause a wide gap between the west and third world counties, this might initiate hate and frustration leading to extremism and violence. But above all, it might turn us, as scientists, and the society to adopt narrow minded perspectives which depended only on technology improvements.

The man that could not dream:

The dominance of technology in technocratic life style has many impacts on thinking patterns and modern scientific innovation. The metaphor of a man that could not dream represents a worry that increased focus on technology developments might create a system that is fully dependent on this paradigm. In a technocratic world, spiritual and holistic approaches, combined with other disciplines, such as art and humanities, might be neglected and become irrelevant. Therefore, technology should stay as a tool and not as an objective. The recognition in technocratic benefits and disadvantages should be obviously clear for scientists, engineers, entrepreneur and decision makers, and meet a top priority when developing new innovations.

 

References:

  1. “Questioning of M. King Hubbert, Division of Supply and Resources, before the Board of Economic Warfare”. 1943-04-14.
  2. Dorrestijn, S., & Verbeek, P. P. (2013). Technology, wellbeing, and freedom: The legacy of utopian design. International Journal of Design, 7(3), 45-56

The post Technocratic Scientific Empire appeared first on pathologica.

]]>
Utilizing Patients-Derived Xenograftshttps://www.patho-logica.com/utilizing-patients-derived-xenografts/ Mon, 27 Jul 2020 11:52:49 +0000 https://www.patho-logica.com/?p=453Utilizing Patients-Derived Xenografts and Histological Assessment for Personized Medicine in Oncology Author: Emmanuel Loeb Globally, 8.2 million people die each year from cancer, an estimated 13% of all deaths worldwide. There is a 70% increase in the expected new cases of cancer over the next 2 decades. According to the W.H.O, more than 100 cancer […]

The post Utilizing Patients-Derived Xenografts appeared first on pathologica.

]]>
Utilizing Patients-Derived Xenografts and Histological Assessment for Personized Medicine in Oncology

Author: Emmanuel Loeb

Globally, 8.2 million people die each year from cancer, an estimated 13% of all deaths worldwide. There is a 70% increase in the expected new cases of cancer over the next 2 decades. According to the W.H.O, more than 100 cancer types exist, each requiring unique diagnosis and treatment.

Traditional tumor classification, treatment methods and disease prognosis have been a point of debate in the last years. It is very well established that a malignant tumor is a very complex tissue entity and is changing during therapy and disease progression continuously. There is much evidence that patients with identical classification, morphology, mutation type and grade of malignancy could respond differently to the same therapy. Thus, a different approach, of personalized treatment, taking into consideration the patient’s and the tumor’s characteristics is required. Personalized medicine seems to be the most suitable paradigm for oncology patients’ management. In order to achieve an effective personalized therapy the patient and the tumor should be evaluated in advance, both for maximizing the treatment effect and for recovery prediction.

Mouse models, immune deficient, lacking their own immune cells, NSG mice, represent ground-breaking platforms to evaluate compounds to treat a variety of human diseases, from cancer and infectious diseases to allergies, inflammation and Graft versus Host Disease. These animals are implanted with the patient tumor. Animals bearing the human tumor will be examined for several treatments. Analysis of tumor implant can be realized by immunohistological markers. Utilizing Patients Derived Xenografts (PDX) in immune deficient mice, could serve as a tool to predict best choice of medicine per an individual patient. We hope that the combination of involving histological tools in the therapy evaluation process of the xenografts will provide an accurate result and will reduce the time for the patient treatment.

The challenge of this method is to predict a suitable therapy for a specific malignant tumor based on an experimental animal trial using PDX models combined with microscopy evaluations. Sophisticated histological tools can offer an early detection of the therapy effects in the mouse. This will reduce the turn over time and will provide the oncologist with a therapy prediction based on an animal study.

I order to design and develop such a system a preliminary study must be carried out in order to show an accurate prediction of a certain drug in the mouse for the usage of the oncologist in the patient. Patho-Logica is involved with few players in this field with the hope to be part of such a study.

The post Utilizing Patients-Derived Xenografts appeared first on pathologica.

]]>
Digital morphometry in 6-OHDAParkinson model in micehttps://www.patho-logica.com/digital-morphometry-in-6-ohdaparkinson-model-in-mice/ Mon, 13 Jul 2020 11:11:12 +0000 https://www.patho-logica.com/?p=2557Digital morphometry quantification of dopamine activity in a 6-hydroxydopamine (6-OHDA) Parkinson model in mice Loeb E¹, Zuckerman A¹, Margalit R², Orgad U³. ¹Patho-Logica, Golda Meir Str 7, Scientific Park, Ness-Ziona, Israel. ²Science In Action, Sapir Str. 5, Scientific park, Ness-Ziona, Israel. ³Hebrew University, Koret School for veterinary medicine, Rehovot, Israel Introduction: Parkinson’s disease is a […]

The post Digital morphometry in 6-OHDA<BR>Parkinson model in mice appeared first on pathologica.

]]>
Digital morphometry quantification of dopamine activity in a 6-hydroxydopamine (6-OHDA) Parkinson model in mice

Loeb E¹, Zuckerman A¹, Margalit R², Orgad U³. ¹Patho-Logica, Golda Meir Str 7, Scientific Park, Ness-Ziona, Israel. ²Science In Action, Sapir Str. 5, Scientific park, Ness-Ziona, Israel. ³Hebrew University, Koret School for veterinary medicine, Rehovot, Israel

Introduction:

  • Parkinson’s disease is a progressive neurodegenerative disorder, that is primarily characterized by degeneration of the dopaminergic neurons of the nigrostriatal pathway.
  • The neurotoxin 6-hydroxydopamine (6-OHDA) continues to constitute a valuable tool to model Parkinson’s disease in rats and mice (1).

 

Aim:

  • To quantify the amount of damaged dopamine producing cells and fibers by digital morphometric tools, compared to scale traditional semi-quantitative analysis based on score scale (2).

 

Materials and methods:

  • Intrastriatal  injection of  6-OHDA (3 μl) was applied into the right hemisphere of mice (n=5), at the following coordinates: (i) AP=+1.0, L=−2.1, DV=−2.9;(3). The left hemisphere served as control.
  • Animals were sacrificed 8 weeks later. Brains were dissected to obtain sections from the striatum (ST) and the Substantia Nigra Pars Compacta (SNC).
  • Five mµ thick paraffin sections were cut and stained for tyrosine hydroxylase (TH) activity, a marker for dopamine production, using immunofluorescence histochemistry.
  • The intensity of the reaction was measured by computerized morphometry (Image Pro Plus 6.3), and compared to the semi-quantitative analysis, (score scale).

 

Materials and methods:

  • Intrastriatal  injection of  6-OHDA (3 μl) was applied into the right hemisphere of mice (n=5), at the following coordinates: (i) AP=+1.0, L=−2.1, DV=−2.9;(3). The left hemisphere served as control.
  • Animals were sacrificed 8 weeks later. Brains were dissected to obtain sections from the striatum (ST) and the Substantia Nigra Pars Compacta (SNC).
  • Five mµ thick paraffin sections were cut and stained for tyrosine hydroxylase (TH) activity, a marker for dopamine production, using immunofluorescence histochemistry.
  • The intensity of the reaction was measured by computerized morphometry (Image Pro Plus 6.3), and compared to the semi-quantitative analysis, (score scale).

 

Semi-quantitative analysis (score scale):

–   = Normal TH expression
+   = Mild TH reduction
++ = Moderate reduction
+++ = Severe TH reduction

 

Table 1: Semi quantitative analysis of TH activity based on a score scale. Note the reduction of TH in the treated side (R) compared with the untreated hemisphere (L).

Table 2: Quantitative analysis of TH activity using digital morphometry. Note the decrease in the treated side (R) compared with the untreated hemisphere (L).

Table 3: Histogram of % of TH positive cells in SNC

Results:

  • Morphometric analysis: The quantitative analysis showed a pronounced decrease in the intensity of the reaction in the ST in the right hemisphere, compared to the left un-treated control.
  • In the SNC, the activity of TH in the right hemisphere was lower compared to the control left hemisphere.
  • Semi quantitative analysis: A decrease  of TH in the ST and SNC was observed, compared to the left hemisphere.
  • The morphometric analysis could detect slight changes that were not shown by the semi-quantitative analysis (for example see animal 181).

Figure 1. Coronal brain sections at the level of the striatum, showing the activity of TH expressed by fluorescence. Note the reduction in TH expression in the right hemisphere compared to the left control. The digital Intensity analysis is presented in the histogram below.

Figure 2. Coronal brain sections at the level of the substantia nigra, showing the intensity of TH activity. Note the reduction of TH expression (fluorescence) in the right hemisphere, compared to the left side.  The morphometric digital surface analysis of TH positive cells is presented in the left image.

Summary and Conclusions:

  • A clear damage in the striatum and in the substatia nigra was shown following injection of 6-OHDA , expressed by decrease in TH activity.
  • An accurate number for the TH activity was obtained, by using a digital morphometric tool, in contrast to the semi-quantitative method.
  • The digital quantification of histological markers is highly accurate compared to the traditional semi-quantitative method and therefore recommended especially for efficacy studies, where slight differences between treatments are essential.

 

References:

  1. Schober A. Classic toxin-induced animal models of Parkinson’s disease: 6-OHDA and MPTP, Cell & Tissue Res 2004; 318: 215–224.
  2. Jansen JA et al. Semi-quantitative and qualitative histologic analysis method for the evaluation of implant biocompatibility.  J Invest Surg; 1994,;7:123-34.
  3. Fischer K et al. In vivo quantification of dopamine transporters in mice with unilateral 6-OHDA lesions using [11C]methylphenidate and PET. Neuroimage 2012; 59:2413-22.
  4. Mori S et al. Lack of interleukin-13 receptor α1 delays the loss of dopaminergic neurons during chronic stress. J Neuroinflammation 2017: 14:88.

 

 

The post Digital morphometry in 6-OHDA<BR>Parkinson model in mice appeared first on pathologica.

]]>
Morphometry tool for histologicalassessment in COPD model in micehttps://www.patho-logica.com/morphometry-tool-for-histologicalassessment-in-copd-model-in-mice/ Mon, 13 Jul 2020 11:10:11 +0000 https://www.patho-logica.com/?p=2555Use of a digital morphometry tool for histological assessment in an Elastase-induced COPD model in mice Loeb E¹, Zuckerman A¹, Margalit R², Alagem N ³, Sagiv Y ³. ¹Patho-Logica, Golda Meir Street 7, Scientific Park, Ness-Ziona, Israel. ²Science In Action, Sapir Street 5, Scientific park, Ness-Ziona, Israel. ³ Kamada Ltd, Holzman 2, Scientific Park, Rehovot, […]

The post Morphometry tool for histological<BR>assessment in COPD model in mice appeared first on pathologica.

]]>
Use of a digital morphometry tool for histological assessment in an Elastase-induced COPD model in mice

Loeb E¹, Zuckerman A¹, Margalit R², Alagem N ³, Sagiv Y ³. ¹Patho-Logica, Golda Meir Street 7, Scientific Park, Ness-Ziona, Israel. ²Science In Action, Sapir Street 5, Scientific park, Ness-Ziona, Israel. ³ Kamada Ltd, Holzman 2, Scientific Park, Rehovot, Israel

Introduction:
The Elastase-induced COPD (chronic obstructive pulmonary disease) mouse model is well-known for emphysema studies. Following administration of test drug, Elastase is instilled intratracheally once a week for four weeks to induce COPD. Lungs are harvested, fixed, and stained for histological evaluation. The H&E-stained slides are analyzed using a digital morphometry tool as applied to the analysis of representative pictures of the affected lung parts.

 

Aim:
The objective of this study was to develop a reliable quantitative tool for assessing the degree of alveolar loss and rupture damage in treated vs. control lungs of elastase-induced COPD in mice as parameters for the assessment of a treatment effect.

 

Materials and Methods:

  • Anesthetized mice received weekly intratracheal instillations of 20 µL Test Item.
  • 24 hours after each dose, 0.2U PPE in 20 µL saline was instilled.
  • At the end of weeks 2, 3 & 4, five mice were sacrificed for histology.
  • Lungs were fixed in 4% Formaldehyde using intra- and extra-bronchial fixation (gravitation method).
  • 5-µm-thick paraffin sections were cut and H&E stained.
  • Representative pictures were taken in affected areas (4 fields per lung) using 4X objective magnification

 

Digital morphometry analysis:
Image analysis was performed using “Image Pro Plus” Version 6.3 (Media Cybernetics, US). From each histological slide, four pictures were taken and sent for digital analysis.

Protocol:

  1. 1. Spatial calibration was applied (marked calibration).
  2. 2. Area of Interest (AOI) selection was chosen.
  3. 3. Threshold selection was based on HSI color system (Hue, Saturation and Intensity).
  4. 4. Intensity of 96-255 grey levels was depicted to show the void spaces.
  5. The calibrated parameters of Area and Perimeter were measured and used for creating statistical data.

 

Table 1: Results of morphometry, digital evaluation of lung emphysema.

Figure 1: Illustration of a threshold image measurement of alveolar spaces in the Lung, shown in red X4 H&E.

Results:

  • Morphometric quantification shows clear differences in area counts, mean and sum when comparing healthy and affected lungs through accurate comparison between affected lungs (Table 1).
  • SD shows greater variation in the measurement of the affected lungs compared to the healthy lungs.
  • Areas of air were quantified using a rigid threshold (Fig. 1)
  • We extract the numbers from the histological image and show them in a graph for comparative means (Fig. 2)
  • Area / Perimeter provide a good index for emphysema quantification (Fig. 3)

Figure 2.  Representative pictures of two normal and two affected lungs with different graph profiles

Figure 3. Summary of x4-fold measurements per animal area / perimeter.

 

Summary and Conclusions:
We have developed a very accurate and useful tool for the quantification of alveolar loss and rupture damage in a mouse emphysema model. This morphometry technology enables a quantification of the comparison of different treatments effects in this model, and should be applicable to other models where key morphological features can be quantified.

 

References:

  1. Cruz F. F., Antunes M. A., Abreu S. C., Fujisaki L. C., Silva J. D., Xisto D. G., et al. . (2012). Protective effects of bone marrow mononuclear cell therapy on lung and heart in an elastase-induced emphysema model. Respir. Physiol. Neurobiol. 182, 26–36.
  2. Weibel E. R. (1990). Morphometry: stereological theory and practical methods, in Models of Lung Disease-Microscopy and Structural Methods, eds Gil J., editor. (New York, NY: Marcel Dekker; ), 199–247

The post Morphometry tool for histological<BR>assessment in COPD model in mice appeared first on pathologica.

]]>
Cuprizone-induced demyelination in micehttps://www.patho-logica.com/cuprizone-induced-demyelination-in-mice/ Mon, 13 Jul 2020 11:08:48 +0000 https://www.patho-logica.com/?p=2553Comparison of methods to evaluate cuprizone-induced demyelination in mice Litinetsky La; Belinson, Ha; Geva, Ma; Blumenfeld – Katzir, Tb; Loeb, Ec; Amit- Romach, Ea; Orbach, Aa. aDiscovery & Product Development, Global Research & Development, Teva Pharmaceutical Industries Ltd., Netanya, Israel; b ImagingQ, Ramat Gan, Israel. c Patho – Logica Ltd., Golda Meir St 7 ,Scientific […]

The post Cuprizone-induced demyelination in mice appeared first on pathologica.

]]>
Comparison of methods to evaluate cuprizone-induced demyelination in mice

Litinetsky La; Belinson, Ha; Geva, Ma; Blumenfeld – Katzir, Tb; Loeb, Ec; Amit- Romach, Ea; Orbach, Aa. aDiscovery & Product Development, Global Research & Development, Teva Pharmaceutical Industries Ltd., Netanya, Israel; b ImagingQ, Ramat Gan, Israel. c Patho – Logica Ltd., Golda Meir St 7 ,Scientific Park, Ness Ziona, Israel.

Support for this study was provided by Teva Pharmaceuticals, Israel.

 

INTRODUCTION
The Cuprizone (CPZ) mouse model is a well-established method for toxic demyelination that has been used in several magnetic resonance imaging (MRI) studies. In this model, mice are fed with CPZ, leading to oligodendrocyte death and subsequent demyelination, most profoundly observed in the corpus callosum (CC). The loss of white matter in the CC can be quantified either by histological tools or imaged by MRI.

MRI analysis is a powerful non-invasive method to evaluate the myelination state of the nervous system and, hence, is highly useful to track the progression of the model and any protective treatment.

The aim of the study was to evaluate the capability of a compact high-performance MRI system (1Tesla aspectimaging®) to assess demyelination of the CC in the cuprizone model.

 

METHODS
Animals and treatments: Thirty 8-12 week old male C57BL/6 mice were fed for 6 weeks with either normal chow or a diet containing 0.3% cuprizone mixed into pelleted rodent chow (1,2). To evaluate if treatment related changes can be detected, we treated mice with test compound X (TCX) which shows beneficial effect in the model and can serve as a positive control. TCX was dosed at 25 mg/kg PO QD. Following 6 weeks of treatment, mice were scarified and perfused in PFA. Brain in suckle were kept prepared for MRI analysis. Thereafter, brains were excised from the skull and prepared for histology. All experimental procedures conformed to accepted ethical standards for use of animals in research and were in accordance with the Committee for the Care and Use of Experimental Animals guidelines and approved by the Teva Institutional Animal Care and Use Committee.

MRI: Ex vivo brain samples were scanned using a 7 Tesla MRI scans (Bruker Biospec 7T/30 Scanner, SCAN@TAU Center) and 1 Tesla (M3TM compact low MRI machine, aspectimaging®) according to the following protocols:

7 Tesla 1 Tesla

Resolution: 100 micron      Resolution: 100 micron
No. of slices: 12                   No. of slices: 9
Slice thickness: 0.6 mm     Slice thickness: 0.9 mm
Time scan: 26 min            Time scan: 120 min

Assessment of the demyelination of the CC of mice was performed by volumetric analysis of the CC (3)

Histopathology: Brains were trimmed in a standard position for all the samples, using the chiasma opticum as a reference landmark. The frontal half brain was processed for paraffin embedding for immunofluorescent staining of MBP and the rest remained in the fixative until cut in a cryostat for Black Gold (BG) staining for myelin.(4) Stained sections were examined and photographed by using Plan Fluor objectives (40x) connected to a camera (DS-Qi1, Nikon). Digital images were collected and analyzed using Image-Pro software.

* All samples were analyzed by these methods in a blind manner.

 

RESULTS

  1. MRI analysis of loss of CC volume in the CPZ model

Using specific protocols for the 7 Tesla we found that brains from CPZ- treated mice showed a pronounced decrease in CC volume, compared to naive brains (Fig. 1A, B, G). In brains from CPZ-fed mice that were treated with TCX, a drug that ameliorates CPZ-induced demyelination, an intermediate grade of demyelination and CC volume loss was exhibited (Fig. 1C, G). In addition, using unique protocols for the 1 Tesla we were able to measure similar loses in the volume of the CC to those obtained with the 7 Tesla (Fig. 1).

Figure 1: CC volumetric loss is similar in 7 Tesla and 1 Tesla MRI

***p<0.001 – as compared to Naïve group;
### p<0.001 – as compared to CPZ+ Veh, by ANOVA, Fisher’s LSD

  1. Histopathology analysis of loss of fibers in the CC in the CPZ model

To further assess the brain pathology we performed MBP immunofluorescent and Black Gold (BG) histological staining. Using BG staining we found that the CC from cuprizone treated mice showed a pronounced decrease in the positive fiber staining, compared to naive brains (Fig. 2A, B, H). In brains from CPZ-fed mice that were treated with TCX, the loss of fibers was significantly ameliorated (Fig. 2C, H). In addition, using MBP immunofluorescent similar results were obtained, by which CPZ treatment decreased MBP positive fibers and TCX treatment ameliorated this effect (Fig. 2G). Important to note, the histological analysis revealed comparable results to those obtained by the MRI analysis of the CC volume loss.

  1. Histopathology analysis of loss of fibers in the CC in the CPZ model

To further assess the brain pathology we performed MBP immunofluorescent and Black Gold (BG) histological staining. Using BG staining we found that the CC from cuprizone treated mice showed a pronounced decrease in the positive fiber staining, compared to naive brains (Fig. 2A, B, H). In brains from CPZ-fed mice that were treated with TCX, the loss of fibers was significantly ameliorated (Fig. 2C, H). In addition, using MBP immunofluorescent similar results were obtained, by which CPZ treatment decreased MBP positive fibers and TCX treatment ameliorated this effect (Fig. 2G). Important to note, the histological analysis revealed comparable results to those obtained by the MRI analysis of the CC volume loss.

Figure 2: BG and MBP fiber loss analysis in the CPZ model

***p<0.001 – as compared to Naïve group ;
### p<0.001 – as compared to CPZ+ Veh, by ANOVA, Fisher’s LSD

 

III. Correlation of MRI and histopathology analysis in the CPZ model

Analysis of the correlation of the MRI and histological analysis revealed that, both MRI 7 Tesla and 1 Tesla correlate similarly with the histological data. Important to note, BG correlation with the MRI analysis seemed to have higher correlation but it was not significantly different.

 

CONCLUSIONS
The results of the present study show that both MRI methodologies and the histopathology provide comparable readouts for the grade of demyelination of the CC in the cuprizone mouse model. Moreover, the MRI methodologies and the histopathology analysis show significant correlation. Thus, we believe that any of these methodologies could serve as a screen of efficacy in these models. Moreover the same sample could be used for the initial MRI screen and in depth histopathological evaluation.

 

REFERENCES

  1. Torkildsen U, Brunborg LA, Myhr K-M, BL. The cuprizone model for demyelination. ActaNeurol Scand 2008: 117 (Suppl. 188): 72-76.
  2. Skripuletz et al. Cortical Demyelination Is Prominent in the Murine Cuprizone Model and Is Strain-Dependent. Am J Pathol 2008, 172 (4): 1053-106.
  3. Matsushima, Glenn K., and Pierre Morell. The neurotoxicant, Cuprizone, as a model to study demyelination and remyelination in the central nervous system. Brain Pathology 2001(11.1) : 107-116.
  4. Franco-Pons, Neus, et al. Behavioral deficits in the Cuprizone-induced murine model of demyelination/remyelination. Toxicology Letters 2007 (169.3): 205-21.

The post Cuprizone-induced demyelination in mice appeared first on pathologica.

]]>